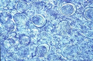
クリプトスポリジウムは1907年に初めて発見された胞子虫類に属する原虫であり、ヒトを含む動物種に広く感染するクリプトスポリジウムは20種以上存在します。
ライフサイクル:クリプトスポリジウムは単一の宿主を含む直接的なライフサイクルを有します。4つの感染性スポロゾイト(種虫、sporozoite)と残体 (residual body) を含むオーシストは、感染宿主の糞便中に排出され、周囲環境を汚染します。
新しい宿主に摂取されると、無性生殖期と有性生殖期の両方が腸管上皮に発生し、新しいオーシストが放出されます。
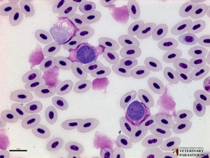
伝播:クリプトスポリジウムは糞口経路に加え、呼吸器分泌物を介して伝播することがあります。新しい宿主はエアロゾル化した飛沫を吸入します。
分類
目:コクシジウム目(Eucoccidiorida)
科:クリプトスポリジウム科(Cryptosporidiidae)
属:クリプトスポリジウム(Cryptosporidium)
宿主
●哺乳類
●魚
●爬虫類
●鳥
関連疾患
●クリプトスポリジウム症
●耳の感染症

