鶏脳脊髄炎(AE)

スポンサーリンク
ウイルス

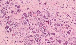
鶏脳脊髄炎ウイルス(Avian encephalomyelitis virus) ~ 雛の神経疾患である「流行性振戦」の病因となっています

ピコルナウイルスの一種である鶏脳脊髄炎ウイルス(AEV)は、雛の神経疾患である「流行性振戦」の病因となっています。AEVは世界中でみられます。1930年代にアメリカのニューイングランド地方で初めて発見されました。鶏脳脊髄炎ウイルスは垂直方向...
ニワトリの病気

鶏脳脊髄炎(AE)

病名鶏脳脊髄炎(AE)病因AEウイルス主な宿主鶏発症日齢60日齢以下(1~2週齢に多発)、採卵鶏病気の伝播速い、介卵、水平死亡率ひな:25%前後症状ひな:歩行異常、脚麻痺、失明採卵鶏:V字型の産卵低下肉眼病変なし診断臨床・組織所見:中枢神経...
スポンサーリンク