胞子虫類 ≪鶏マラリア≫Plasmodium juxtanucleare ~ 赤血球および網内系細胞に寄生
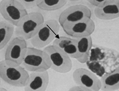
プラスモジウム属種(Plasmodium juxtanucleare)、虫体は赤血球の核に密着して寄生していることがおおい虫体は小形で細胞質が少ない色素顆粒も黒色で微小です。成熟シゾントの中のメロゾイドは2~5個、赤血球および網内系細胞に寄...
胞子虫類
胞子虫類
アヒルの病気