スポンサーリンク
家畜中毒

鉛 Lead Pb ~ 豚の症状

鉛中毒・豚の症状a) 6ヶ月の豚は5gの鉛糖のために発病しましたが、4日で快復しました。b) 多数の豚は新たに厩舎を塗った鉛色素を舐め嘔吐、便秘および痙攣などを発した。
家畜中毒

砒素 ~ 豚

砒素・豚(a) 9ヶ月の豚は砒石1.2を摂食し、45時間で斃れた。(b) 22頭の豚が羊の薬浴に用いる砒石溶液を飲み、悉く斃死し、剖見は烈しいクループ性口腔炎および咽頭炎を呈しました。(c) 豚に毎日0.05gの砒石を2回宛8~14日間与え...
蹄および爪の疾患

豚の蹄の疾患(Diseases of the Porcine Claw) ~ 蹄の損傷

蹄の損傷(injuries of the porcine claw)肉豚は蹄に損傷が生じて跛行する例が少なくない。豚房のコンクリート床の表面が粗糙で平滑を欠く場合には、敷料がないと、蹄の底面に損傷が生じます。特にしばしば床を水洗するため蹄が...
呼吸器循環・体液平衡

体液の浸透圧平衡

体内の水分と塩分動物は常に体液水分を排泄している。呼気に失われる水分は純粋であり、静止時でも20ml/kg/day程度が失われる。また発汗によって失われる水分も純粋です。(一時に多量に発汗した時の汗は間質液の組成に近づく)。これらの排泄を不...
精神安定薬

ブチロフェノン誘導体(butyrophenone derivatives) ~ アザペロン(azaperone)

この群の代表薬物はハロペリドール(haloperidol)で、優れた抗精神病薬として用いられている。またドロペリドール(droperidol)はフェンタニルとの配合剤としてNLAに用いる。アザペロン(azaperone)豚専用の精神安定薬と...
駆虫薬

抗トキソプラズマ薬(drugs for toxoplasmosis) ~ 予防治療が必要な動物は豚、犬猫

トキソプラズマは多くの動物種に寄生しますが、予防治療が必要な動物は豚、犬猫です。現在用いられている薬剤は増殖型細胞に有効ですが被嚢型原虫には無効です。サルファ剤(sulfa drugs)スルファジメトキシンやスルファモノメトキシンを筋肉内に...
駆虫薬

四水素ピリミジン類(tetrahydropyrimidines) ~ 馬では円虫類への駆虫効果が高い・馬胃虫や馬バエ幼虫には無効

ピランテルとモランテルが知られており、前者はヒトの回虫症の第1選択薬となっています。後者は動物専用薬です。●ピランテル(pyrantel)ピランテルは酒石酸塩とパモ酸塩で用いられる。前者は水溶性ですが、後者は水に溶けない。水溶性での安定性は...
駆虫薬

イミダゾチアゾール類(imidazothiazoles) ~ レバミゾールは消化管内寄生虫と肺虫に対して強い駆虫作用を示す

レバミゾール多くの動物に寄生する寄生虫に広範囲な殺滅効果を示し、また高等動物に対して免疫調節作用をもつ薬物として知られています。●生体内動態経口、皮下注、経皮で用いられますが、いずれの場合にも吸収は速い。投与後1日以内に投与量の40%が尿へ...
駆虫薬

アミノ配糖体抗生物質(aminoglycoside antibiotics) ~ 低濃度を飼料添加して長期にわたって投与を続ける方法に用いる

この系の抗生物質のうち、ハイグロマイシンBとデストマイシンAは抗菌性以外に駆虫作用を持っている。ハイグロマイシンB(hygromycin B)ハイグロマイシンBはアミノ配糖体抗生物質ですが、粘膜刺激性の強い化合物であるから過量を投与すれば、...
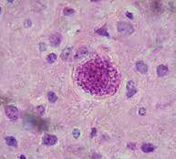
胞子虫類

トキソプラズマ症(症状・予防) ~ 人畜共通寄生虫症

トキソプラズマ症は豚、犬、猫、めん羊、牛、ミンク、モルモット、その他の野生動物に自然発症が知られています。また、人体からも多くの症例報告があり、人畜共通寄生虫症として重要です。シスト、オーシストの感染があると、終宿主である猫では原虫の増殖か...
繊毛虫類

バランチジウム症(症状・予防) ~ 発症は幼豚に多く、食欲不振、抑うつ状態、水様性下痢を生じる

大腸バランチジウムの自然宿主は豚であり、世界に広く分布しています。本邦の豚にも28.8%の寄生が知られています。豚では大腸内に片利共生の状態で寄生しており、多くの寄生豚は腸管に病変を引き起こすことはない。しかし、他の原因によって大腸炎が存在...
線虫類

豚の胃虫症(症状・予防) ~ 軽度寄生では無症状、重度寄生によって慢性もしくは急性胃炎の症状を呈する

感染はおもに幼豚であり、軽度寄生では無症状ですが、重度寄生によって慢性もしくは急性胃炎の症状を呈します。食欲不振、渇欲亢進、異食症、しばしば胃部に痛みを訴える。発育が遅れ、削痩し、ときに死にいたることもあります。豚の胃虫症の予防中間宿主とな...
線虫類

豚の糸状虫症(症状・予防) ~ 適確な治療・予防法は知られていない

飼豚から検出されるSetaria bernardiはベトナム中部、台湾、日本(鹿児島、沖縄)で発見されており、東南アジアにはかなり広く存在するものと思われます。腹腔に寄生する成虫の病害は明らかではありませんが、牛、馬の腹腔に寄生する他のSe...
線虫類

豚腎虫症(症状・予防) ~ 重度感染では削痩、跛行、後軀強拘、後軀脱力から起立不能となり、急性腎炎の症状が著しい

豚腎虫は幼虫期が長いので肥育豚には発生が少なく、長期間飼育される種豚に発生が多い。軽度感染では一般に症状は明瞭ではなく、多くは栄養障害をきたし、受胎率が低く、または後軀脱力のために交尾不能がみられます。重度感染では削痩、跛行、後軀強拘、後軀...

中国種(支那種)Chinese Breed

中国大陸一帯で飼われているブタを総称して中国種といっています。体型、毛色など種々ですが、大別すると、黒(黒猪)、白(白猪)、黒白斑(花猪)の3種です。いずれも中国原産です。他からの品種を交雑されたことはありませんが、逆に、世界中のどの品種も...

ハンプシャー Hampshire

アメリカのトウモロコシ地帯の原産ともいわれ、また19世紀の初期にイギリスのハンプシャー地方から、その祖が輸入されたともいわれています。正確なことは不明ですが、アメリカで有名になったことは間違いありません。アメリカのケンタッキー、マサチューセ...

ランドレース Landrace

ランドレースとは、もともと在来種という意ですが、ここでは1つの品種名に用いられています。デンマークの在来種に大ヨークシャーを交配し、改良を重ねて成立した優秀なベーコン型のブタです。現在、デンマークでは輸出を禁止していますが、かつて欧米各国に...

デュロック Duroc

アメリカのニューヨーク州の赤色のデュロック(Duroc)と、ニュージャージー州のジャージー・レッド(Jersey Red)との交配によって生じたもの。ただしその間、アフリカ、ポルトガル、スペインなどの産の赤豚が関係しています。以前は、Dur...

ポーランド・チャイナ Poland china

アメリカのオハイオ州、バトラー(Butler)およびワレン(Warren)地方に飼われていた在来種に、ロシア種、バイフィールド(Byfield)が交雑されていましたが、1816年以来、大型の中国種が輸入されて交雑され、大いに成績を上げました...

大黒種 Large Black

イギリスで最も古い品種の1つでミート型のブタです。コーンウォール(Corn-wall)ともいいます。イングランドの西南デボンシャー州付近の原産で、デボン豚がこの祖です。体軀、耳、鼻、被毛など長いものほど良いとしていたデボン豚を19世紀の初め...

大ヨークシャー Large Yorkshire(Large White)

ヨーロッパでは、ラージ・ホワイト、アメリカでは単にヨークシャーといっています。本邦では大ヨークシャーです。ベーコン型の代表的なもので、古くからイギリス各地に、大型で大垂耳の肢の長い粗野な白豚(Large white といった)がいましたが、...

バークシャー(Berkshire)

ミート型で、イギリスのバークシャー州付近一帯にいた在来種に、中国種、シアメースおよびネアポリタンなどを交配してできたもの。この原種となったものは、18世紀の末期に、Berkrhirepigと呼ばれて、イングランド全土およびスコットランドの1...

中ヨークシャー Middle Yorkshire(Middle White)

ヨーロッパ種の代表的なもので、ミート型です。ヨーロッパではミドル・ホワイトとふつうにいわれ、本邦では単にヨークシャーと呼ばれています。イギリスのヨークシャー州地方で、在来種に中国種、ネアポン、レスターなどを交配して成立した白色豚を総称してヨ...

ブタの起原(豚)Swine

ブタは現在のイノシシ(野猪)が家畜化されたものです。イノシシには大別してヨーロッパ産(Sus scrofa L.)とアジア産(Sus vittatus MÜLLER α SCHLEGEL)との2種があり、このおのおのが各地で家畜化されて、そ...
スポンサーリンク