住肉胞子虫

スポンサーリンク
胞子虫類

住肉胞子虫症(肉胞子虫症)の症状と予防 ~ 特に牧場では飼育犬に生肉の給与を禁止することは重要

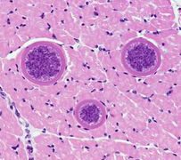
住肉胞子虫の病原性は以前から疑わしいとされてきましたが、近年、生活環が解明されると共に、実験的感染によって住肉胞子虫症の急性発症が証明され、また、住肉胞子虫症と判断される自然発生例も知られるようになり、最近では、病原性の強い種類の感染によっ...
スポンサーリンク