マラリア

スポンサーリンク
胞子虫類

鶏マラリア(症状・予防) ~ 死亡率は日齢の若いものほど高い

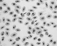
鶏に感染性のある、Plasmodium属原虫は、実験感染も含めれば多くの種類を数えるが、自然感染が認められる重要な種類はP.juxtanucleareとP.gallinaceumの2種類です。本邦の鶏に寄生が確認されている種類は、P.jux...
P

プリマキン(Primaquine) ~ 抗マラリア薬

プリマキンは抗マラリア薬であり、クロロキンとの必須の共剤であり、ヘマトゾア(すなわち、マラリア原虫(Plasmodium)、ヘモプロテウス属(Haemoproteus)、ロイコチトゾーン(Leucocytozoon))に対する治療に使用され...
M

メフロキン(Mefloquine) ~ 血液シゾンチサイドとして作用する抗マラリア薬

概要 メフロキン (ラリアム) は血液シゾンチサイドとして作用する抗マラリア薬であり、マラリア原虫種の赤血球段階に対して活性があります。
C

クロロキン(Chloroquine) ~ あらゆる種類のマラリアの治療に最も広く使用されています

クロロキンは抗マラリア薬の原型であり、クロロキン耐性熱帯熱マラリア原虫に起因する疾患を除き、あらゆる種類のマラリアの治療に最も広く使用されています。投与量5~25mg/kg経口副作用過剰摂取は致死的となる可能性があります。
アヒルの病気

鳥類マラリア ~ 蚊によって媒介される

鳥類のマラリアは、蚊によって媒介される原虫の血液寄生虫であるマラリア原虫によって引き起こされます。鳥に感染するマラリア原虫は世界に約30種あります。マラリア原虫は、ペンギン、家禽、アヒル、カナリア、ハヤブサ、ハトに対して病原性を示すことがあ...
スポンサーリンク