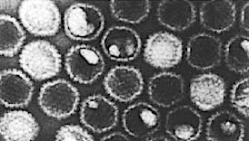
トリレオウイルス (ARV) はエンベロープをもたない二本鎖RNAウイルスです。世界中のニワトリや七面鳥から検出されており、ほとんどすべての商業用家禽群がこのウイルスのキャリアです。
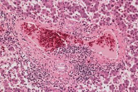
ほとんどの菌株は非病原性ですが、ウイルス性関節炎/腱滑膜炎および発育阻害/吸収不良症候群などの疾患に関連するものもあります。
環境中での生存:トリレオウイルスは、羽毛、木くず、卵殻、飼料、亜鉛メッキされた金属などで最大10日間生存することができます。水中では、ARVは最大10週間生存することができます。
ARVを死滅させる消毒剤:ARVは、70%エタノール、0.5%有機ヨウ素、および5%過酸化水素溶液によって不活化されます。
伝播:トリレオウイルスは垂直および水平に伝播する可能性があります。ほとんどのヒヨコは、感染した孵化仔、環境または汚染された卵、育雛箱、孵卵器から、初期に口腔~糞便または時に呼吸経路によって感染します。
分類
目:割り当てられていない(Unassigned)
科:レオウイルス科(Reoviridae)
属:オルトレオウイルス(Orthoreovirus)
宿主
●鶏
●七面鳥
●カモ類
●オウム
関連疾患
●ウイルス性関節炎

