PR

ピロプラズマ症(症状・予防) ~ 発熱、貧血、黄疸によって特徴づけられる家畜の重要な原虫性疾患

ピロプラズマ症(症状・予防) 胞子虫類

 
 
ピロプラズマ症は発熱、貧血、黄疸によって特徴づけられる家畜の重要な原虫性疾患です。本邦では牛、犬に発生が多く、特に牛には全土にきわめて高率に分布しており、放牧牛のほとんどに寄生をみる重要な寄生虫性疾患の一つです。
 
 
めん羊のピロプラズマ症は本邦でも過去に発生した経緯はありますが、重要性はない。馬、豚のピロプラズマ症は本邦には存在しません。
 
 

●牛のピロプラズマ症
 
 
本邦で牛のピロプラズマ症の原因となる種類は、沖縄を除いてTheileria sergenti(小型ピロプラズマ)とBabesia ovata(大型ピロプラズマ)です。
 
 
前者は各地にきわめて高率に分布をみますが、後者の発生はそれほど高くない。したがって、北海道、本州、四国、九州ではT.sergentiの単独感染が最も多く、両種の混合感染が散発的にみられます。
 
 
沖縄県にみられる寄生種はB.bigemina、B.bovis(=B.argentina)、およびオーストラリア牛寄生種と同一種と考えられているTheileria種です。

 
 

●タイレリア症
 
 
T.sergenti(小型ピロプラズマ)の感染は放牧牛のほとんどにみられ、集団発生するが、最近では舎飼、繋牧飼育牛にもかなり高率に感染が認められています。千葉県下で舎飼牛の48.8%、繋牧牛の47.0%に感染の報告があります。
 
 
牛にこの原虫が感染しても必ずしも発病するものではない。感染初期に発熱し、やがて血中に原虫の出現をみるようになりますが、重度感染でなければ、多くは発病することなく、免疫を獲得して不顕性感染の状態で耐過します。
 
 
重度感染を受けたり、感染牛が強いストレスや生体の抵抗力の低下をおこすと、原虫の急激な増殖を誘発して発病します。
 
 
環境の急変、過放牧、気温の激変、他疾患の罹患、栄養障害、妊娠、分娩、長距離輸送などが発病の誘因となりやすい、一般にホルスタイン種が和牛よりも被害が多く、幼牛ほど被害が大きい。
 
 
症状は発熱、貧血を主徴とします。重症となれば食欲不振となり、下痢、便秘などの消化器障害、心衰弱、黄疸は無いか軽度、成牛には乳量減少などの症状が認められます。
 
 
慢性経過をとるものには粘膜黄色(黄疸)をみ、栄養障害、発育不良がみられる。血色素尿はみられず、もし血色素尿があれば、Babesia属原虫との混合感染を考慮する必要があります。
 
 
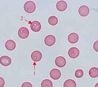
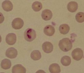
血液には赤血球数・血色素量の著減と、赤血球の大きさ、形態、染色性に貧血性の異常所見が顕著に認められ、赤芽球も出現する。
 
 
また、好中球の核形佐方推移を伴う白血球数増加もみられます。
 
 
解剖的変状の主体は貧血に伴う全身臓器・組織の貧血性褐色所見と、リンパ節腫脹、血鉄症ですが、黄疸所見や肝臓壊死を認めることもあります。

 
 

●バベシア症
 
 
B.bigeminaに原因する本症にダニ熱(tick fever)の名がある。甚急性、急性の経過をとる症例の主要症状は発熱、貧血、食欲不振、胃腸カタール、血色素尿、乳量減少ですが、重症例では衰弱して死亡します。
 
 
慢性経過をとる症例では貧血、削痩、黄疸が認められます。成牛の急性経過による死亡率は高く、数日の経過で50~90%が死亡しますが、慢性経過をとる症例の死亡率は1~2%程度です。
 
 
幼牛は数日の発熱をみますが、ほとんど発症せず、死亡するのも稀です。末期に失調、筋振戦、意識障害などの中枢神経障害をみることがあります。
 
 
これは激しい貧血による脳低酸素症に関係して生じます。
 
 
常在地で生まれ育った牛よりも、無病地から導入した牛に激しい症状が現れる傾向があります。解剖的変状で重要な所見は、貧血、黄疸、脾臓・肝臓の腫大、腎臓の腫脹、出血などです。
 
 
B.ovata(大型ピロプラズマ)に原因する症状や解剖的変状は、B.bigeminaによる所見と類似しており、両者を区別することは困難です。
 
 
しかし、死亡例はまれで、感染牛の多くは耐過します。
 
 
B.bovisに原因する本症の症状も黄疸、貧血、血色素尿を特徴としますが、特に中枢神経障害による症状を認めることが多い。その原因は、脳毛細管に原虫寄生の赤血球が凝集し集積する結果です。
 
 
感染牛の多くが急性経過をとって死亡します。

 
 

●犬のバベシア症
 
 
本邦の犬バベシア症の原因は、B.gibsoniとB.canisであり、前者は沖縄、九州、四国、中国、近畿地方にかなり広く分布しますが、B.canisは最近沖縄県に存在が知られた。また、B.canisは長崎市内の犬からも発見されました。
 
 
B.gibsoniに原因する本症の潜伏期は、約7~10日であり、主要症状は食欲不振、抑うつ状態、発熱、栄養低下、粘膜蒼白、頻脈、呼吸頻数、悪臭のある黄色泥状便、脾腫、肝腫です。
 
 
血液所見には、赤血球数・血色素量の減少、好中球増加をみる白血球増加症などがみられます。また、病態の進んだ症例に血清GOT値の軽度な増加をみますが、死亡前にはBUN、ビリルビン、ALP、GOTなどの値はかなり増加します。
 
 
尿は褐色となるが血色素は証明されない。これらの変化は溶血や低酸素症に原因する二次的な異常と思われます。
 
 
解剖的変状の主な所見は、著明な脾腫と軽度な肝腫脹、貧血に原因する臓器・組織の貧血性褪色です。B.canisに原因する本症も症状はB.gibsoniの場合と類似しますが、一般に急性経過をとり、激しい黄疸、貧血、血色素尿を表し、削痩し、衰弱し、治療しないと成犬で約75%が死亡します。
 
 
慢性経過をとるものは症状は激しくなく、貧血が主で、軽度な黄疸がみられます。尿は濃褐色で血色素が証明されます。解剖所見には黄疸による臓器・組織の黄色染があり、他の変化は、B.gibsoniの場合に類似します。

 
 

ピロプラズマ症の予防

 
 
媒介者となるマダニの生息を減少させるために牧野(草地)環境の改善と、牧野におけるダニ駆除を行います。牧野環境の改善は牧野改良であり、牧野(草地)を耕耘して野草地を牧草地に改良し、火入れなどを行うと良い。
 
 
牧野のダニ駆除には、有機リン剤、カーバメイトなどの殺虫剤を、牧野(草地)に定期的に散布(粉剤、微粉剤、水剤)あるいは燻煙(燻煙剤)などの方法で適用します。
 
 
牧野(草地)のピロプラズマ汚染を防ぐために、入牧前に放牧牛の検査を行い、ピロプラズマ保虫牛を入牧させないようにします。
 
 
また、T.sergenti(小型ピロプラズマ)による牧野の汚染は、輪換放牧によって休牧すれば阻止できるので、計画的に輪牧を行います。
 
 
放牧中の牛は定期的に検温し、赤血球数、ピロプラズマ原虫の検査を行い、発症牛の早期発見と治療を徹底して実施することが必要です。

タイトルとURLをコピーしました