PR

トキソプラズマ症(症状・予防) ~ 人畜共通寄生虫症

トキソプラズマ症(症状・予防) 胞子虫類

 
 
トキソプラズマ症は豚、犬、猫、めん羊、牛、ミンク、モルモット、その他の野生動物に自然発症が知られています。また、人体からも多くの症例報告があり、人畜共通寄生虫症として重要です。
 
 
シスト、オーシストの感染があると、終宿主である猫では原虫の増殖から腸管粘膜に病変を生じますが、それは激しくなく、症状もほとんどみられない。
 
 
他の動物では原虫増殖に原因して腸管粘膜に障害が生じて下痢が発生します。腸管粘膜で増殖したタキゾイトの一部は、リンパ・血管系に侵入し、循環により体組織に広く分布して腸管外発育を行う。
 
 
この全身への分布とそこでの増殖には、宿主の条件が大きくかかわりをもちます。初感染時に動物がストレス、疾病罹患、特に免疫抑制状態にあると、原虫の体組織への広範な分散と、そこでの増殖を容易に許すことになり、臓器、組織障害をおこして全身性のトキソプラズマ症を発症します。
 
 
犬ジステンパーウイルス、猫白血病ウイルスなどの感染は犬、猫における本症の発症に重要な関係をもつものと考えられます。免疫抑制剤投与も同様です。
 
 
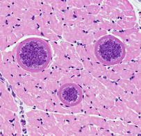
宿主が健康で、感染後に速やかに免疫状態を獲得すれば、多くは原虫の体組織における増殖は抑制され、組織(主として筋肉、脳)にシストを形成してブラディゾイトの状態で存在するようになり、不顕性感染の状態が維持されます。
 
 
自然界では多くの感染動物は不顕性感染の状態で維持しますが、宿主が重要な疾病に罹患して抵抗力や免疫状態が低下すると、組織のブラディゾイトは活性化し、タキゾイトとなって増殖しトキソプラズマ症を発症します。
 
 
トキソプラズマ感染のほとんどはシスト、オーシストの経口摂取によって成立しますが、トキソプラズマ罹患動物との接触による感染も否定しえない。
 
 
それは、罹患動物の排泄物(眼脂、鼻汁、乳汁、精液、尿)にタキゾイトが検出されるからです。しかし、タキゾイトは抵抗性が弱いから感染源としての重要性は低い。
 
 
また、妊娠母獣が感染を受けると(組織中のブラディゾイトの活性化もありうる)タキゾイトの胎盤感染による胎子感染が生じ、流産、死産、早産、異常子の出産がみられる。
 
 
先天性感染はめん羊、豚、犬、猫、牛に知られていますが、ヒトでは症例も多くきわめて重要です。トキソプラズマ症の罹患動物に共通的な病的変状に次のようなものがあります。
 
 
肺に水腫、小壊死巣や出血斑をみるカタール性・化膿性肺炎が、胸腔、腹腔に胸膜炎、腹膜炎と滲出液貯留が、リンパ節特に肺門、肝門、腸間膜リンパ節に出血、壊死をみるリンパ節炎が、腸粘膜に出血、潰瘍、肥厚をみる腸炎が、また、肝炎、心筋炎、腎・脾の腫脹、脳脊髄炎も認められます。
 
 

●豚のトキソプラズマ症
 
 
子豚に発生が多く、散発性に或いは集団発生します。他疾患との混合感染もみられますが、生後数か月齢の子豚では単独発症も多い。
 
 
発症は一般に急性で、全身性の症状が現れます。40℃を越す稽留熱(けいりゅうねつ)、食欲不振、抑うつ、渇欲亢進、水様性鼻漏、結膜充血、眼脂排泄をみるが、湿性咳、頻呼吸、呼吸困難をみる肺炎症状、嘔吐、下痢、しばしばタール様下痢、便秘を伴う消化器症状、起立不能、後軀蹌踉、症侯性てんかん、斜頸などの中枢神経症状も症状として重要です。
 
 
また、耳、鼻、下腹部、内股、四肢などの皮膚に紫赤斑の出現も認められ、黄疸をみることもあります。網膜脈絡膜炎も生じますが、症状として見逃されることが多い。
 
 
激しい状態では、症状の悪化と共に体温が下降して死亡します。
 
 
発症後、2週間を経過し、急性期を耐過したものでは治癒に向かうが、発育不良、神経症状、眼症状は残存します。

 
 

●犬のトキソプラズマ症
 
 
症状は年齢や障害臓器によって異なる。年齢との関係では幼犬に急性の全身性重度感染が多い。成犬では急性感染症は少なく、不顕性に経過するものが大部分を占めていると考えられます。
 
 
幼犬の腹腔や静脈内へタキゾイトを感染させると感染後、3~6日で発症し、死亡するものも認められますが、成犬では同様に人工感染しても発症せず、抗体が上昇して不顕性感染が成立するか、あるいはまったく感染しない。
 
 
潜伏期は明確ではない。急性発症では全身症状として発熱、食欲不振、抑うつ状態、頻脈、眼脂排泄、軽度な貧血などを認めます。
 
 
さらに、呼吸器障害の症状として粘液・膿性鼻漏、気管支肺炎から咳、頻呼吸、呼吸困難が、消化器症状として嘔吐、下痢、腹痛が、中枢神経症状として失調、運動麻痺から歩行障害や起立不能が、また、全身痙攣、症侯性てんかんが認められます。
 
 
眼症状も重要で、網膜脈絡膜炎、ブドウ膜炎、白内障がみられます。調査では、トキソプラズマ症犬の62%に眼障害を認め、激症例では症状が悪化して死亡するが、宿主に抵抗性があれば慢性型に移行します。
 
 
慢性型では食欲・元気が不定で、ときどき軽度な発熱がみられ、栄養は低下します。障害される臓器によっては呼吸器、消化器などの症状を繰り返します。
 
 
また、中枢神経症状、眼症状も認められ、雌犬では流産、死産、早産、異常子出産の発生もみられます。漸次に好転する例では、抗体の上昇がみられる。

 
 

●猫のトキソプラズマ症
 
 
子猫に急性トキソプラズマ症の発症が多い。発熱、食欲不振、抑うつ状態、呼吸困難、咳、嘔吐、下痢、黄疸、失調、痙攣、麻痺、症候性てんかん、貧血など、複雑な症状が認められる。
 
 
腹膜炎など漿膜炎も発生しやすい、網膜脈絡膜炎、紅彩炎、角膜炎、白内障などの眼症状も高率に現れ、トキソプラズマ症猫の45%に認めている。
 
 
成・老猫は一般に慢性経過をとり、不定発熱が特徴です。元気不振、抑うつ状態、栄養低下、貧血、嘔吐、下痢、不妊、流産、中枢神経症状もみられますが、症状は一般に軽い。
 
 
多くは長い経過をとりながら、漸次悪化して死亡します。

 
 

●牛・めん羊のトキソプラズマ症
 
 
牛の自然発症例は少ないが、発熱、咳、呼吸困難、振戦、頭部を振る、運動障害、抑うつ、衰弱などの症状を現し、死亡した例の報告があります。
 
 
めん羊の自然発症例の症状も牛に類似しており、呼吸器症状、運動障害がみられ、死亡例も認められます。めん羊では流産、死産の発生頻度が高い。

 
 

トキソプラズマ症の予防

 
 
養豚場をトキソプラズマのない清浄な環境に保つため、トキソプラズマ血清反応が陽性の豚は淘汰し、汚染豚を導入しないように努める。
 
 
養豚場に猫が徘徊しないように管理し、猫の糞便で汚染された恐れのある腐植土などを豚に給与しないことです。トキソプラズマオーシストで汚染した腐植土を給与し、本症の集団発生を認める事例の報告があります。
 
 
猫でトキソプラズマオーシストを排出するのは1%以下と思われますが、感染源として重要です。特に猫を集団飼育するような環境では糞便処理を完全に行い、飼育舎、用具などは定期的に熱湯、蒸気で加熱消毒するとよい。
 
 
犬、猫に生肉や不完全調理肉の給与、あるいはネズミ、小鳥などの捕食を避けるのもシスト感染を防ぐ意味から重要です。オーシストを媒介するゴキブリ、ハエ、ミミズなどの運搬宿主の駆除を行うのも必要でしょう。
 
 
本症に罹患した動物は隔離し、他への感染源とならないように厳重な管理下で治療を行う。
 
 
胎盤感染を防ぐには妊娠期間中に母体が感染を受けないように注意することが必要です。感染源としてのオーシストが猫によって排泄されることから、その排泄物の処理が重要です。
 
 
オーシストは前述のように抵抗力が強いが、胞子形成以前のオーシストには感染力がないことから、猫の排泄物はすぐに処理することも予防のため必要です。

タイトルとURLをコピーしました