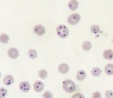
プラスモジウム・ガリナセウム(Plasmodium gallinaceum)、マラリア原虫は赤血球内で無性的および有性的に生殖を行うほか、赤血球以外の細胞でも無性生殖をします。
したがって赤血球には無性と有性の両世代の虫体がみられます。
生鮮標本では虫体は赤血球内の空胞のようにみえます。
栄養型(トロフォゾイト)には発育初期の輪状のものと、発育の進んだアメーバ状のものがあり、ギムザ染色などで核は赤く明瞭に、細胞質は青く染まり、細胞質の量がおおい。
虫体には黄褐色の明瞭なマラリア色素顆粒(pigment granule)があります。
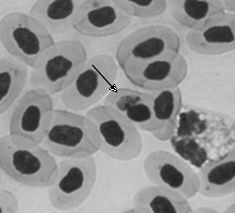
寄生された赤血球の核は周辺に押しやられたり、取り囲まれることがある。
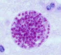
赤血球内の成熟シゾントは20~36個のメロゾイトを形成します。
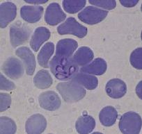
鶏寄生種は鶏の他にガチョウ、キジ、クジャクにも寄生し、赤血球のほか綱内系細胞にも寄生します。
インド、スリランカ、インドネシア、マレーシア、フィリピンなどの東南アジアにぶんぷします。
≪鶏マラリア≫プラスモジウム・ガリナセウム ~ 鶏寄生種は鶏の他にガチョウ、キジ、クジャクにも寄生し、赤血球のほか綱内系細胞にも寄生
胞子虫類
