骨折

スポンサーリンク
骨折

胸骨の骨折(fractures of the sternum) ~ 大動物・小動物

大動物胸骨の骨折は、杭・垣根・枠場にひっかかる、垣根を跳び越える、激しい衝突、交尾などが原因となって発生しますが、非常に稀な事故です。胸骨瘻が継発することがあります。新鮮な皮下骨折は、X線検査によらないと判明しないことがあります。外見上は、...
骨折

肋骨の骨折(fractures of the ribs) ~ 大動物・小動物

大動物大動物の肋骨骨折は、転倒、衝突、角突、輸送事故などに基因しますが、発生は少ない。主として皮下骨折(横骨折、斜骨折、多発骨折)で、1~数本の肋骨が損傷をうけます。若い動物では、挫滅創と合併することがあります。クル病、骨軟化症、フッ素沈着...
骨折

脊椎の骨折(fractures of the spine) ~ 小動物

小動物犬では、しばしば脊椎の骨折が突発します。交通事故、墜落、闘争が主な原因です。ただちに予後を判定して、治療するか、安楽死かを決定しなければなりません。胸-腰部または腰部に多発します。椎体の骨折がもっとも多い。軟部組織の損傷と出血が併発し...
骨折

脊椎の骨折(fractures of the spine) ~ 大動物

大動物骨折は脊柱のどこにもおこります。馬と牛では外傷性に、豚では骨軟化症またはブルセラ症の結果として発生します。馬では頸椎の骨折が多く、牛では脊柱の後半に多い。脊髄の損傷が問題であって、その軽重の程度が予後を左右します。手術による治療は、尾...
骨折

頭部の骨折(fractures of the skull and mandible) ~ 大動物・小動物

頭蓋と顔面の骨折(大動物)自動車事故、衝突、蹴傷、牛の闘争などが原因となります。牛では前頭骨の角突起の骨折がしばしば発生し、馬では顔面骨の骨折が多い。可能なかぎりX線検査を行う。頭蓋骨の骨折 軽度ならば脳が損傷をうけることなく自然に治癒しま...
骨折

手根骨の骨折(fractures of the carpus) ~ 大動物・小動物

大動物競走馬および乗馬の橈側手根骨、中間手根骨または第Ⅲ手根骨の頭側には、裂離骨折がおこって、小骨片が生ずることがあります。手関節の伸展過度によるとされ、凹膝の肢勢の馬におこりやすい。他の手根骨では稀れです。局所の増温、疼痛、硬い腫脹、跛行...
骨折

橈骨および尺骨の骨折(fractures of the radius and ulna) ~ 大動物・小動物

大動物橈骨と尺骨からなる前腕骨は、馬では生後約1年、牛では生後3~4年で互いに骨性に結合して不動になるため、成牛・成馬の前腕骨骨幹の骨折では、2骨が同時に損傷をうけることが多い。外力によるもののほか、馬では尺骨に疲労骨折がおこることがありま...
骨折

上腕骨の骨折(fractures of the humerus) ~ 大動物・小動物

大動物肩または上腕の激しい打撲、溝や柵を乱暴にとびこす、車の荷台からとびおりる、交通事故などが原因となります。若馬では、はじめて勒をつけて調教を開始した時に、興奮し棒立ちになってから倒れた時に発生することが多い。子牛、若牛では四肢の骨折の1...
骨折

肩甲骨の骨折(fractures of the scapula) ~ 大動物・小動物

大動物馬でも牛でも、肩甲骨骨折の発生は稀れですが、骨の位置、形状から、ほかの骨折と若干異なった病像を呈します。穿通創、正面衝突(馬)などが原因になります。肩甲頸の骨折では、肩の腫脹、疼痛、肩関節の輪郭の変形が認められます。高度の支跛が現れ、...
骨折

指(趾)骨の骨折(fractures of the phalanges) ~ 大動物・小動物

大動物基節骨(繋骨)の骨折 主に馬におこるもので、牛では非常に稀です。骨折線が関節面に達すること(関節骨折)が多い。開放(複雑)骨折が生じることも少なくありません。細片骨折、Y字形骨折または縦骨折を呈することがしばしばです。後者はことに競走...
骨折

種子骨の骨折(fractures of the sesamoid bones) ~ 大動物・小動物

種子骨の骨折といわれるものは、ふつう球節の後面にある近位種子骨の骨折を指します。大動物競走馬の疾走中に発生します。骨の尖端(近位端)または基底(遠位端)に生じた小骨片の場合はそれを摘出しますが、後者では予後があまり良くない。骨の1/3~1/...
骨折

中足骨および中手骨の骨折(fractures of the metatarsus and metacarpus) ~ 大動物・小動物

後肢の中足骨以下と前肢の中手骨以下の骨の骨折は、原因、診断、治療など、いずれもほぼ同様ですのであわせて記述することにします。大動物中足骨および中手骨の骨折 大動物では非常にしばしば発生します。牛では、中足骨の骨折が骨折の17.5%、中手骨の...
骨折

足根骨の骨折(fractures of the tarsus) ~ 大動物・小動物

大動物踵骨の骨折 牛、馬の踵骨隆起の骨折はかなり稀です。おこるとすれば、馬では他の馬に蹴られるか、固いものを蹴る、または肢を深い穴につっこむことが原因です。単純または複雑骨折が生じ、後者では、しばしば腐骨が形成されます。骨折脱臼がおこること...
骨折

腓骨の骨折(fractures of the fibula) ~ 大動物・小動物

大動物馬の腓骨は上半のみが独立した骨で、下半は脛骨体に癒合しています。牛の腓骨は退化がもっとも著しく、わずかに近位端と遠位端がのこるだけです。これらの腓骨の骨折は、脛骨の骨折を伴うことがなく、実際上は支障がありません。しかし、豚の腓骨は、全...
骨折

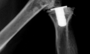
膝蓋骨の骨折(fractures of the patella) ~ 脛骨の骨折(fractures of the tibia) ~ 大動物・小動物

膝蓋骨(大動物)発生は稀れで、それも馬にかぎられています。膝蓋骨に関連する靭帯と関節包が損傷をうけます。診断はX線検査によります。安静によって骨片の線維性癒合を得ることがあります。Thomas副子を装着するのが良い。症例のなかには、ネジまた...
骨折

大腿骨の骨折(fractures of the femur) ~ 小動物

小動物犬、猫に発生する骨折のなかでは、大型犬、中型犬、猫などでは交通事故を始めとする外傷による大腿骨骨折が一般に多くみられますが、小型犬では橈骨・尺骨の骨折が多発する傾向にあります。X線検査(少なくとも2方向)によって診断を確実にします。大...
骨折

大腿骨の骨折(fractures of the femur) ~ 大動物

大腿骨の骨折はさまざまの動物に発生します。骨幹の骨折のほか、近位端では大腿骨頭と大腿骨頸の骨折、大腿骨頭の裂離骨折、大転子の骨折、近位骨端の分離、また遠位端では顆上骨折、顆間骨折、顆骨折、遠位骨端の分離が、単独でまたは合併して発生します。大...
骨折

各部の骨折 ~ 小動物

小動物の骨折犬では骨盤骨折が骨折全体の20~25%を占めます。自動車事故に基因することが多く、またその大多数は多発骨折を呈します。合併症には、冒頭に挙げたもののほか、胸郭の損傷と気胸の発生にも注意する必要があります。診断にはX線検査(2方向...
骨折

骨折の二次的合併症 ~ 仮骨の異常・骨折の遅延治癒および偽関節

骨折の予後を判定する場合には、骨折個所についてばかりでなく、全身状態の良否、重要な器官の損傷、重度の感染など合併症の有無、および患肢の保存の可否についても、十分検討する必要があります。治癒後の骨折患部の形態と機能、および治癒に要する期間につ...
骨折

回復期の看護と管理(nursing and management during convalescence) ~ 患畜の看護

患畜の看護治療の終わった小動物はケージに入れて4~6週間運動を制限します。固定包帯、Thomas副子などを装着した場合には、動作が不自由になるので広いケージに収容し、ケージの床をたえず清掃し、また副子の先端が扉の格子や床の隙間にはさまること...
骨折

骨折の治療 ~ 開放(複雑)骨折の治療・射弾骨折の治療

開放(複雑)骨折の治療応急処置をほどこした開放(複雑)骨折の治療は、清潔な環境のもとで、なるべく早く開始します。治療の目的は、①活性を失った組織と異物をすべて除去し、血液循環の良好な健康組織をのこして、感染の成立を防ぐ、②骨片の動きをとめて...
骨折

骨折の治療 ~ 骨幹端の骨折の治療・骨端(線)の骨折分離の治療

骨幹端の骨折の治療骨幹端と骨端は海綿質に富み、血管が豊富で、造骨機能が大きいから、それらの骨折は骨幹の骨折よりも治癒が速い。骨幹端骨折の固定には、海綿質用ネジ、骨プレート、髄内釘などが使用されます。骨折線が骨幹端から関節面に達している関節骨...
骨折

骨折の治療 ~ ワイヤーによる固定・骨接合術(内固定法)の実施上の問題

ワイヤーによる固定膝蓋骨の骨折、若い犬の肩甲骨の骨折、犬の下顎結合の離開骨折などの治療には、ワイヤー(wire)による固定が行われます。しかし、長骨の骨折に対するワイヤーの固定効果は確実でないことが多いため、一般にワイヤー縫合のみで固定する...
骨折

骨折の治療 ~ 骨プレートによる固定

骨プレートによる固定金属製のプレート(bone plate)をネジで留めて骨片を固定する考案は、Lambotte, Lane, Sherman以来のものですが、当時は金メッキをほどこした鉄片を使用したため、メッキが剥げて鉄が腐食し、組織の化...
骨折

骨折の治療 ~ 骨ネジによる固定について

骨ネジによる固定骨ネジ(bone screw)は、蝶形骨折や脛骨粗面の裂離骨折の際に生じた小骨片の固定に使われます。また骨折線の長さが、骨の直径の2倍以上ある斜骨折、あるいは骨端部の骨折の固定にも応用されます。しかし固定力がかならずしも十分...
骨折

骨折の治療 ~ 骨接合術による内固定法・髄内釘による固定

骨接合術による内固定法(osteosynthesis)内固定法(骨接合術)は次のような場合に採用されます。①畜患の体格、体重、気質、習性などから、保存的治療法では、骨片の固定を長期間安定して維持することが難しいと判断される時、②非観血的な整...
骨折

骨折の治療 ~ ピン副子による外固定法

ピン副子(pin splint)による外固定法これは、骨折が生じた骨を、手術を行って固定する方法のうち、皮膚の上から、骨片にピンを刺入し、それらのピンを皮膚外で連結して、骨片を固定する方法で、その装置としては、Kirschner副子(Kir...
骨折

骨折の治療 ~ 接合副子による外固定法・Thomas副子による外固定法

接合副子による外固定法(coaptation splint)接合副子は金属、プラスチック、木、厚紙、グラスファイバーなどの板でつくった外固定用具で、軽く、丈夫で、耐久性があり、かさ張らないものがのぞまれます。金属製の接合副子には、長さを調節...
スポンサーリンク