心臓

スポンサーリンク
心臓・血管およびリンパ系の疾患

後天性心疾患 ~ 犬の心臓弁膜の疾患

犬の心臓弁膜の疾患(acquired heart diseases)家畜の後天性心疾患については、各種動物でかなりの発生をみていますが、ここではその主なものについて記載します。犬の心臓弁膜の疾患(valvular heart disease...
心臓・血管およびリンパ系の疾患

心臓の疾患 ~ 心疾患の主な検査

心疾患の主な検査(ⅰ)血液循環時間blood circulation timeの測定:犬でエーテル法がしばしば用いられる。エーテル0.1mlを前腕頭静脈にすみやかに注入し、呼吸にエーテル臭が現れるまでの時間を測定する。これを腕肺時間といい、...
心臓・血管およびリンパ系の疾患

心臓の疾患 ~ 検査法

検査法心疾患を診断するために、次のような検査法を用います。病歴の把握:心疾患は、どの家畜においても発見されますが、診療にあたっては、犬にもっとも多く見られます。先天性心疾患の場合は、一般に発育が悪く元気の良くないものが多い。また心内雑音が聞...
ウマ(馬)の病気

心室中隔欠損症(Ventricular Septal Defects) ~ 馬における最も一般的な先天性心疾患

心室中隔欠損症(VSD)は馬における最も一般的な先天性心疾患です。VSDは馬の個体群の0.1~0.5%に発生すると言われています。アラビア馬またはアラビアンクロス種は、非常に頻繁に発生することから、VSDの遺伝的素因があると考えられています...
ウマ(馬)の病気

三尖弁閉鎖不全症(Tricuspid Regurgitation) ~ サラブレッドおよびスタンダードブレッドの競走馬に頻繁に見られる心雑音の一種

三尖弁閉鎖不全症(TR)は、サラブレッドおよびスタンダードブレッドの競走馬に頻繁に見られる心雑音の一種です。TRの発生率と重症度は、馬の年齢と調教レベルに応じて増加します。TRは、右心室が収縮するたびに、三尖弁を通って右心房に血液が逆流を来...
ウマ(馬)の病気

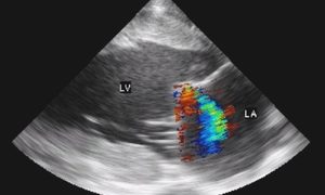
僧帽弁閉鎖不全症(Mitral Regurgitation) ~ 左心房と左心室の境界に位置する僧帽弁が逆流をきたす疾患

僧帽弁閉鎖不全症(MR)は、左心房と左心室の境界に位置する僧帽弁が逆流をきたす疾患で、運動能力の低下と関連する可能性が最も高い心雑音です。僧帽弁は馬の後天性弁膜疾患の中で2番目に多い場所で、MRは左心房圧を上昇させ、左心房拡張を起こすため、...
ウマ(馬)の病気

心内膜炎(Endocarditis) ~ 馬の心血管系に影響する稀な全身性疾患

心内膜炎は、馬の心血管系に影響する稀な全身性疾患です。素因となる疾患、全身性炎症、免疫介在性の宿主反応、血栓塞栓性合併症、転移性感染症などの徴候がみられることがあります。また、上室性不整脈や心室性不整脈が観察されることもあります。症状●心雑...
ウマ(馬)の病気

先天性心疾患(Congenital Heart Defects) ~ 出生時に存在する心臓の構造上の問題です

先天性心疾患とは、出生時に存在する心臓の構造上の問題です。これらの欠陥は、心臓の内壁、心臓内の弁、または心臓や身体に血液を運ぶ動脈や静脈に関わるものです。先天性心疾患は、心臓を流れる血液の正常な流れを変化させます。心血管検査を受けた馬の約3...
ウマ(馬)の病気

馬の心不全(Heart Failure) ~ 心臓が十分なポンプ機能を果たさず、体に必要な血流を維持できなくなったときに起こる臨床症候群

心不全(HF)は、心臓が十分なポンプ機能を果たさず、体に必要な血流を維持できなくなったときに起こる臨床症候群です。心不全は老齢の馬によく見られますが、心臓疾患や先天性疾患のある若い馬にも発生することがあります。心不全に伴う徴候は、その病期や...
ウマ(馬)の病気

心房細動(Atrial Fibrillation) ~ 競走馬に最も多く見られる不整脈(心臓のリズムの異常)です

心房細動(AF)は、競走馬に最も多く見られる不整脈(心臓のリズムの異常)です。正常な馬の心臓は、安定したリズミカルなパターンで拍動します。心房細動の馬の心臓では、心臓の上部にある心房や心室が細動(ふるえ、素早く収縮)して、不規則なリズムを作...
ウマ(馬)の病気

大動脈弁閉鎖不全(Aortic Insufficiency) ~ 心臓の大動脈弁の漏れにより心室拡張期に血液が大動脈から左心室へと逆方向に流れてしまうこと

大動脈弁閉鎖不全(AI)は、大動脈弁逆流(AR)とも呼ばれ、心臓の大動脈弁の漏れにより、心室拡張期に血液が大動脈から左心室へと逆方向に流れてしまうことをいいます。AIは、変性弁の肥厚と大動脈弁逸脱が最も一般的な原因です。その他の原因としては...
ウマ(馬)の病気

馬の心膜炎(Equine Pericarditis) ~ 馬の心膜(心臓を包んで保護している繊維組織)の炎症(腫れや炎症)を指します

馬の心膜炎は、馬の心膜(心臓を包んで保護している繊維組織)の炎症(腫れや炎症)を指します。この症状は、急性(突発的で短期間)と慢性(長期間にわたって持続する)として現れることがあります。馬の心膜炎は、特発性のものと、ウイルスや細菌の感染、外...
スポンサーリンク
error: Content is protected !!