原虫類

スポンサーリンク
胞子虫類

≪その他の哺乳類≫Babesia perroncitoi ~ 分布は狭く、スーダンとサルジニア

Babesia perroncitoi、小形のバベシアで虫体は大部分が径0.7~2.0㎛の環状分布は狭く、スーダンとサルジニアがあります。ヒトコブラクダにはT.camelenis、トルキスタン、エジプト、ソマリアに分布し病原性は弱い、その他...
胞子虫類

≪その他の哺乳類≫豚バベシア ~ 豚に病原性が強い

豚バベシア(Babesia trautmanni)、大形のバベシア、虫体は多形、同一赤血球内に多数の虫体が寄生します。ロシア、南ヨーロッパ、アフリカに分布豚に病原性が強いが、自然界ではイボイノシシなどが保有宿主でしょう。Boophilus属...
胞子虫類

≪犬・猫≫ギブソン犬バベシア ~ 犬、キツネ、オオカミ、ジャッカル、マングース、イタチアナグマに寄生

ギブソン犬バベシア(Babesia gibsoni)、小形のバベシアで赤血球内虫体は多形で、対をなす特徴的な洋なし状の虫体がみられることは少なく、円形の虫体が多くみられ、ときには十字形に並んだ4虫体が現れます。形態上は、B.equiに類似、...
胞子虫類

≪犬・猫≫犬バベシア ~ 犬のほかオオカミ、ジャッカルに寄生

犬バベシア(Babesia canis)、大形のバベシアで、洋なし状の虫体は5 x 2.5~3.0㎛、アメーバ状虫体は径2.0~4.0㎛同一赤血球に多数の虫体(最大16虫体)が寄生することがあります。犬のほかオオカミ、ジャッカルに寄生します...
胞子虫類

≪馬≫大形馬バベシア ~ 馬のほかラバ、ロバにも感染します

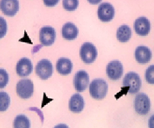
大形馬バベシア(Babesia caballi)、大形のバベシアで、赤血球内虫体は洋なし状(2.15~4.0 x 2.0㎛)と円形、アメーバ状です。馬のほかラバ、ロバにも感染しますが、シマウマには感染しない。病原性はB.equiより弱い分布...
胞子虫類

≪馬≫小形馬バベシア ~ 馬のほかラバ、ロバ、シマウマにも寄生

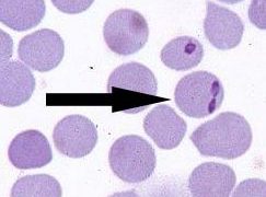
小形馬バベシア(Babesia equi)、小形のバベシアで、赤血球内の虫体は円形、その直径は平均1.69㎛洋なし状の単一虫体は大きさ1.89 x 1.01㎛、対をなす洋なし状虫体は、1.39 x 0.97㎛で、ときには十字形の4個の虫体が...
胞子虫類

≪めん羊・山羊≫Theileria ovis ~ 病原性は弱いといわれている

Theileria ovis、めん羊と山羊に寄生し、シゾントはほとんどみられません。赤血球内虫体は多形で、T.hirciと区別できない。病原性は弱い。アフリカ、ドイツ、フランス、バルカン諸国、中東、インド、ロシア南部に分布し、Rhipice...
胞子虫類

≪めん羊・山羊≫Theileria hirci ~ 移入動物には病原性が強い

Theileria hirci、めん羊と山羊に寄生し、有熱期にシゾントがみられ、急性例では赤血球に多数の多形の虫体がみられます。移入動物には病原性が強い。スーダン、北アフリカ、地中海沿岸東部、中東、インド、ロシア南部にぶんぷHyalomma...
胞子虫類

≪めん羊・山羊≫羊バベシア ~ 虫体の多くは円形で赤血球の周縁部に寄生

羊バベシア(Babesia ovis)、小形のバベシア原虫で、長さ1~2.5㎛、虫体の多くは円形で赤血球の周縁部に寄生します。洋なし状の虫体のおおい株もあります。めん羊と山羊に感染し、めん羊に対して病原性が強い。分布は、前種とおなじですがヨ...
胞子虫類

≪めん羊・山羊≫Babesia motasi ~ めん羊と山羊に感染性のある株と、めん羊だけに感染するものとがある

Babesia motasi、(赤血球には単一ないし対をなす洋なし状の虫体(2.5~4.0 x 2.0㎛)がみられ、B.bi-geminaに似た大形のバベシア原虫です。めん羊と山羊に感染性のある株と、めん羊だけに感染するものとがあります。病...
胞子虫類

≪牛≫大型ピロプラズマ ~ 本種は本邦の牛にだけ認められ、沖縄を除く日本各地に分布

大型ピロプラズマ(Babesia ovata)、本種は、B.bigemingに酷似していて、本邦で従来、牛の大型ピロプラズマと呼ばれていたものです。洋ナシ状の虫体は、2.5~3.8 x 1.1~2.3(平均3.16 x 1.67)㎛でB.b...
胞子虫類

≪牛≫多型バベシア ~ 牛のほか、稀にヒトに寄生します

多型バベシア(Babesia divergens)、小形のBebesia属原虫で、形態学的にB.bovisに似ていますが、洋ナシ状虫体はこれよりすこし小さく(1.5 x 0.4㎛)、赤血球の周縁部に寄生します。対をなす洋なし状虫体のなす角度...
胞子虫類

≪牛≫Babesia major ~ 牛の赤血球の中央部に寄生

バベシア属種(Babesia major)、大形のバベシア原虫で、B.bigeminaよりやや小さい。対をなす洋なし状虫体は2.6 x 1.5㎛(地域によって3.3~3.5㎛)、円形虫体は径1.8㎛牛の赤血球の中央部に寄生します。本邦だけに...
胞子虫類

≪牛≫小型ピロプラズマ ~ 本邦では沖縄を除く各地に分布

小型ピロプラズマ(Theileria sergenti)、赤血球内の虫体は、急性期には桿菌状、コンマ状、柳葉状など細胞質の少ないものがおおいのですが、慢性期には卵円形などの細胞質の多い虫体が増える。赤血球内虫体の形態ではT.mutansと区...
胞子虫類

≪牛≫牛バベシア ~ 宿主は牛のほか、ノロジカ、アカジカなどで、その赤血球に寄生

牛バベシア(Babesia bovis)、小形のバベシアで赤血球内の洋ナシ状虫体は約2.0 x 1.5㎛、その他に円形、不整形の虫体もみられます。宿主は牛のほか、ノロジカ、アカジカなどで、その赤血球に寄生します。分布は、中央・南アメリカ、ア...
胞子虫類

≪牛≫フタゴバベシア ~ 宿主は牛のほかに、こぶ牛、水牛、ヤク、鹿で赤血球に寄生

フタゴバベシア(Babesia bigemina)、洋ナシ状の虫体はおおきさ4~5 x 2~3㎛で、ほかに円形、卵円形、不整形の虫体などがみられます。宿主は牛のほかに、こぶ牛、水牛、ヤク、鹿で赤血球に寄生します。中央・南アメリカ、中東、アフ...
胞子虫類

鶏ロイコチトゾーン ~ 媒介昆虫はニワトリヌカカ

鶏ロイコチトゾーン(Leucocytozoon(Akiba)caulleryi)、赤芽球に寄生するガメトサイト(配偶子母細胞)はメロゾイトと同大の1.7~1.0㎛のものから、11.6 x 9.0㎛の円形に近いものまであります。宿主細胞は腫大...
胞子虫類

≪鶏マラリア≫Plasmodium juxtanucleare ~ 赤血球および網内系細胞に寄生

プラスモジウム属種(Plasmodium juxtanucleare)、虫体は赤血球の核に密着して寄生していることがおおい虫体は小形で細胞質が少ない色素顆粒も黒色で微小です。成熟シゾントの中のメロゾイドは2~5個、赤血球および網内系細胞に寄...
胞子虫類

≪鶏マラリア≫プラスモジウム・ガリナセウム ~ 鶏寄生種は鶏の他にガチョウ、キジ、クジャクにも寄生し、赤血球のほか綱内系細胞にも寄生

プラスモジウム・ガリナセウム(Plasmodium gallinaceum)、マラリア原虫は赤血球内で無性的および有性的に生殖を行うほか、赤血球以外の細胞でも無性生殖をします。したがって赤血球には無性と有性の両世代の虫体がみられます。生鮮標...
胞子虫類

めん羊肉胞子虫 ~ 終宿主は犬、コヨーテ、アカギツネで小腸上部1/3の絨毛先端部の上皮下組織に寄生

めん羊肉胞子虫(Sarcocystis tenella)、スポロシストは楕円形で13~16 x 8~11(平均14.5 x 9.5)㎛、壁は平滑で無色ないしわずかに淡黄色。サルコシストは非常に小さく500 x 60~100㎛で、同じくめん羊...
胞子虫類

サルコシスティス・ミシェリアナ ~ 終宿主は犬のほかオオカミ、アカギツネで、その小腸絨毛の上皮下組織に寄生

サルコシスティス・ミシェリアナ(Sarcocystis miescheriana)、オーシストの形態はS.cruziのものと同様、スポロシストも13~18 x 9~11(平均15 x 10)㎛でS.cruziに似ています。サルコシストは長さ...
胞子虫類

馬肉胞子虫 ~ 終宿主は犬で、小腸の絨毛の上皮下組織に寄生

馬肉胞子虫(Sarcocystis bertrami)、スポロシストは15~16 x 9~11(平均15 x 10)㎛サルコシストは12 x 0.3mmに達し、おおくの室に分かれ、その内部のメロゾイトは16 x 5㎛に達します。終宿主は犬で...
胞子虫類

クルーズ肉胞子虫 ~ 寄生部位は犬では小腸、特に空腸末部と回腸起始部の絨毛の固有層

クルーズ肉胞子虫(Sarcocystis cruzi)、終宿主である犬から排泄されるオーシストは、終宿主体内で胞子形成が完了しているので、2個のスポロシストと、それぞれに4個のスポロゾイトを含んでいます(Sarcocystis属の特徴)。オ...
胞子虫類

Besnoitia wallacei ~ 猫の小腸(粘膜固有層、内皮細胞、血管内膜細胞、上皮の胚細胞)と肝臓に寄生

ベスノイチア属種:Besnoitia wallacei 、オーシストは亜球形、16~19 x 10~13(平均17 x 12)㎛胞子形成時間は24℃で64~96時間、終宿主である猫の小腸(粘膜固有層、内皮細胞、血管内膜細胞、上皮の胚細胞)と...
胞子虫類

ベスノイチア・ベスノイチ ~ 寄生部位は腸管

ベスノイチア・ベスノイチ(Besnoitia besnoiti)、オーシストは、Isospora属のものと同様に、単細胞の状態でネコ科動物の糞中に排泄されます。オーシストの形は卵円形、大きさは14~16 x 12~14(平均15 x 13)...
胞子虫類

ハモンディア・ハモンディ ~ 寄生部位は猫では小腸の絨毛上皮細胞、中間宿主では横紋筋のほか脾臓、肝臓、肺、腸間膜リンパ節

ハモンディア・ハモンディ(Hammondia hammondi)オーシストは胞子形成していない状態で猫の糞に排出されます。形は亜球形ないし球形、おおきさは11~13 x 10~13(平均11 x 11)㎛、壁は円滑で無色胞子形成オーシストは...
胞子虫類

トキソプラズマ ~ 終宿主は猫およびネコ科の動物で、中間宿主としてネコ科動物を含む200種以上の哺乳類と鳥類

トキソプラズマ(トクソプラズマ・ゴンディイ:Toxoplasma gondii)、トキソプラズマは古くは分類位置不明の胞子虫として扱われてきましたが、おもに1970年以降に生活環が明らかになるにつれてコクシジウムに近縁の胞子虫と考えられるよ...
胞子虫類

≪犬猫≫リボルタイソスポーラ ~ 猫および野生のネコ科動物の小腸と盲腸、結腸

リボルタイソスポーラ(Isospora rivolta)オーシストは、犬に寄生するI.ohioensisに酷似していて、楕円形ないし卵円形に近い大きさは21~29 x 18~26(平均25 x 22)㎛壁は平滑、無色ないし淡褐色胞子形成オー...
スポンサーリンク