骨折

スポンサーリンク
骨折

骨折の治療 ~ 固定(fixation, immobilization)・硬化包帯による外固定法

固定(fixation, immobilization)整復した骨片は、骨性癒合が完了するまでの期間、動かないように固定します。これによって、疼痛もまた著しく軽減されます。骨片の転位、角度形成、旋回がおこらないよう、本来の解剖学的位置に固定...
骨折

骨折の治療 ~ 骨折修復のための麻酔・整復・非開放性の整復・開放性の整復

骨折を整復する操作は、激しい疼痛と収縮した筋の強い抵抗を伴うので、全身麻酔をほどこしてから行うのがよい。筋弛緩薬の効果はあまり期待できません。小動物では、ショックが重度の場合を除いて、十分な安全性と調節性のもとに良好な筋弛緩状態を伴った全身...
骨折

骨折の治療 ~ 骨折の原則・骨折の応急処置

骨折治療の本旨は、転位した骨片を正常位に整復した後、骨片の移動を防ぐ固定法をほどこして、自然治癒を待つことです。骨片の転位が少ない場合には、そのまま固定のみを行うことができます。骨の整復と固定は、患畜の状況が許すならば、なるべく早く実施すべ...
骨折

骨折の予後 ~ 現実的考慮

動物の種類小動物の骨折では、綿密な診断とこみいった治療法が可能であり、また患畜の管理、看護が比較的容易ですから、予後は概して良好です。これに対して大動物では、これらの点に多くの困難が伴います。元来臥てすごす時間が長いので、馬にくらべて安静が...
骨折

骨折の予後 ~ 局所的要因・全身的要因

骨折の予後については、治癒に影響を与えるさまざまの要因をよく検討して、総合的に判断することが要求されます。局所および全身の状況について外科的、内科的に検討することはもちろんですが、家畜では経済的側面を含む現実的な考慮もまた欠くことができませ...
骨折

単純骨折の治癒経過 ~ 骨のいわゆる一次性治癒・治癒の判定

骨のいわゆる一次性治癒皮膚とその下の組織に生じた創傷の治癒過程になぞらえて、骨折の治癒機転を一次性と二次性に分ける考え方は、かなり以前から存在しました。堅固な手術的固定法によって、外仮骨の形成がないか、あるいはほとんどない治癒が得られた場合...
骨折

単純骨折の治癒経過 ~ 仮骨の癒合・軟骨の運命・仮骨の改溝・皮質の厚い骨の骨折の治癒

仮骨の癒合骨形成細胞層と中間にある軟骨層の増殖によってカラーの成長はつづき、厚くなり、両骨折片のカラーは互いに相対して、ふくれる。遅かれ早かれ、これら二つのカラーは接近して、ついに癒合し、架橋(bridge)ができる(骨折片の癒合union...
骨折

単純骨折の治癒経過 ~ 血管の損傷・仮骨の形成

血管の損傷外力をうけて骨折がおこった場合に、骨に分布する血管の損傷は避けられません。その結果、直達骨折では、骨折個所の内部と周囲に出血して血液凝塊ができます。出血が多量の時には、患部に血腫が形成されます(骨折血腫)。介達骨折でも、ちぎれた血...
骨折

骨折の治癒機転 ~ 骨に分布する血管の反応

骨折の治癒は、本質的には局所性反応です。それは、形態的には骨折片の間隙が骨組織によって埋められ、また機能的には骨折部に負重能力のある構造が再建されることによって完了します。それに必要な条件は、十分な血液の供給、骨片の正確な整復と堅固な固定、...
骨折

骨折の合併症について ~ 感染・脂肪塞栓・外傷性皮下気腫・発熱・ショック・圧挫症候群

感染開放骨折では、骨折部に一次性または二次性に感染のおこる危険が大きく、また感染が局所にとどまらず、全身的にひろがることもあります。骨折血腫、栄養供給が途絶した骨片、挫滅された筋組織などの存在は、嫌気性菌の発育に好都合で、馬では破傷風、牛で...
骨折

骨折の合併症について ~ 皮膚の損傷・筋の損傷・血管の損傷・神経の損傷

皮膚の損傷外傷性骨折では、しばしば皮膚の損傷を伴って、開放骨折が発生します。尖った骨片が内側から皮膚を外方へ貫くこともあります。また骨折部を被う皮膚が挫創、皮下剥離、皮下血腫などのため、二次的に壊死に陥って、その結果、皮下骨折が開放骨折に転...
骨折

骨折の症候 ~ 機能障害・変形・疼痛・異常可動性・捻髪音、捻髪感

骨折の機能障害(functional disturbance)骨折がおこれば、ただちにその骨の機能障害が現れます。それは四肢の完全骨折においては高度であって、著明な跛行を呈するばかりでなく、体重を支えることが不可能となり、小動物は3肢で歩行...
骨折

骨折部の変化 ~ 骨片の転位(dislocation)

骨片の転位骨折をおこした外力の余力によっておこる骨折端の転位を、一次性転位(primary dislocation)といいます。しかし、骨片の転位はまた、患部の負重、筋肉の収縮、他動運動、患畜の輸送などによって、随意的または不随意的にも発生...
骨折

骨折(Fracture) ~ 骨折の原因について

骨折は、骨の堅牢性(hardness)と弾力性(elasticity)の限界をこえる力が作用しておこる骨の損傷で、骨の完全もしくは不完全な離断です。外力に対する骨の抵抗力は、家畜の種類、用役、年齢、骨の種類と部位、骨の疾患・栄養障害の有無な...
骨の疾患

骨端の外傷性異常 ~ 骨端(線)の骨折-分離 ~ 骨端の裂離骨折 ~ 犬の裂離骨折

骨端の外傷性異常(traumatic disorders of the epiphysis) 骨端の損傷によっておこる疾患で、その主なものに骨端(線)の骨折-分離と骨端の裂離骨折があります。骨端(線)の骨折-分離(fracture-sepa...
顔面および頭蓋の疾患

頭蓋の疾患(Diseases of the Skull)

角の損傷(affections of the horns)牛、羊の角は洞角cavicornと呼ばれる。前頭骨の角突起proc. cornualisを中心として、皮膚の表皮の角質層が角質化した角鞘horn sheathで包まれ、角底basis...
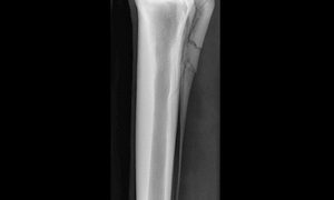
ウマ(馬)の病気

副管骨の骨折(Splint Bone Fractures) ~ 競走馬に発生する骨折の中でもより一般的なタイプの骨折

副管骨の骨折は、競走馬に発生する骨折の中でも、より一般的なタイプの骨折です。2008年にSherlockとArcherが行った研究では、イギリスの6つの獣医紹介病院に提示された骨折の中で、副管骨骨折が最も多いタイプであることがわかりました。...
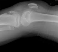
ウマ(馬)の病気

蹄骨骨折(Coffin Bone Fracture) ~ 罹患した馬の跛行の程度は骨折の場所によって異なります

蹄骨は、蹄骨、第3指骨、末節骨とも呼ばれます。四肢の最も体重の掛かる部分にある骨で、蹄の内側に内包されています。蹄骨の骨折はいくつかの種類がありますが、最も一般的なものは次のとおりです。●岩を踏むこと●乾燥した粘土や岩場、凍った地面など、表...
ウイルス

新型ガチョウパルボウイルス(Novel goose parvovirus)

新型ガチョウパルボウイルス(NGPV)は、短いくちばしと矮小化症候群(SBDS)を引き起こします。ほとんどのアヒルは無症状の感染症を発症しますが、重大な臨床症状を呈したアヒルは、成長遅延、萎縮したくちばし、くちばしの外側に突出した舌、胸腺の...
アヒルの病気

足の骨折 ~ びっこ、歩行困難、腫れや変色が特徴

罹患したアヒルは通常、非常に足が不自由で、歩くのを嫌がり、または単純に歩けません。また、皮膚の周囲が腫れて変色します。骨折の種類骨折には部位、骨折の経緯、周囲の組織が損傷を受けているかどうかによって重症なものもあります。アヒルにみられる最も...
アヒルの病気

竜骨の外傷 ~ 竜骨のあざ、膿瘍、脱臼、または骨折を引き起こします

アヒルの竜骨の損傷では、竜骨(別名、竜骨突起として知られる)に痛みと不快感が生じます。損傷は、竜骨のあざ、膿瘍、脱臼、または骨折を引き起こすことがあります。竜骨の怪我の原因※アヒルの竜骨損傷にはいくつかの原因があります。●竜骨上に落下。(硬...
ニワトリの病気

骨折 ~ 非常に痛みを伴う外傷

骨折は鳥にとって非常に痛みを伴う外傷の一種です。 骨折は、主に強い力の衝撃または落下の結果として発生します。 ただし、骨が弱くなる可能性のある基礎疾患および状態の鶏は、骨折のリスクが高くなります。 たとえば、産卵鶏は過剰な産卵の結果として骨...
ニワトリの病気

脛骨軟骨形成不全症 ~ 自発的な脚の骨折、壊死、および重度の疼痛と跛行に苦しみます

脛骨軟骨形成不全症(TD)は、脛骨の近位端での異常な軟骨の発達を伴う骨格骨障害です。これは主にブロイラー(コーニッシュ種)の自由給餌下で発生します。雄のニワトリは雌よりも脛骨軟骨形成不全症を発症する傾向があります。ほとんどの場合、生後3~8...
ニワトリの病気

竜骨損傷 ~ 衝突および高所から落下によって発生します

竜骨損傷は産卵鶏における主要な福祉問題であり、1鶏群あたり56~97%の鶏に影響すると報告されています。竜骨はニワトリの胸から外側に突き出た突出した骨で、翅の飛翔筋の付着点として働きます。竜骨損傷を受けた鶏は、損傷の重症度と感覚神経への損傷...
スポンサーリンク
error: Content is protected !!