原虫類

スポンサーリンク
胞子虫類

≪犬猫≫猫イソスポラ ~ 猫のほか野生のネコ科動物の小腸、ときとして盲腸、まれに結腸に寄生

猫イソスポラ(Isospora felis)オーシストの形態は犬に寄生するI.canisに酷似していますが、鋭端がやや突出しています。オーシストは卵円形、おおきさは32~53 x 26~43(平均42.5 x 32)㎛壁は平滑で色は淡黄色な...
胞子虫類

≪犬猫≫Isospora bahiensis ~ 犬、キツネ、ディンゴの小腸全域に寄生

イソスポーラ属種(Isospora bahiensis)Hammondia heydorniあるいはI.heydorni、I.wallaceiと呼ばれた種です。オーシストは亜球形、ときには球形ないし広楕円形、無色に近く、おおきさは10~14...
胞子虫類

≪犬猫≫オハイオイソスポーラ ~ 犬、コヨーテ、ディンゴ、キツネ、アライグマの小腸全域に寄生

オハイオイソスポーラ(Isospora ohioensis)オーシストは楕円形ないし卵円形、20~27 x 15~24(平均23.5 x 20)㎛壁は平滑で無色ないし淡黄色犬、コヨーテ、ディンゴ、キツネ、アライグマの小腸全域に寄生し、世界各...
胞子虫類

≪犬猫≫犬イソスポーラ ~ 犬とコヨーテの小腸、特に後1/3の部分に寄生しますが大腸に及ぶこともある

犬イソスポーラ(Isospora canis)オーシストは広楕円形ないし卵円形に近く、おおきさは34~42 x 27~33(平均38 x 30)㎛壁は平滑で色は淡青色ないし淡緑色胞子形成時間は、20℃で48時間、30~35℃で16時間犬とコ...
胞子虫類

≪馬≫アイメリア・ロイカルチ ~ 馬、ロバの小腸に寄生

アイメリア・ロイカルチ(Eimeria leuckarti)オーシストは卵円形、細い方の端がやや平坦、おおきさは71~88 x 49~63㎛壁は2層からなり、外層は暗褐色ミクロパイルは明瞭胞子形成時間は、20~22℃で21日、24℃で23日...
胞子虫類

≪豚≫アイメリア・スイス ~ 豚とイノシシの空腸と回腸に寄生

アイメリア・スイス(Eimeria suis)オーシストは楕円形ないし亜球形、13~20 x 11~15(平均17 x 13)㎛壁は平滑で無色胞子形成時間は、3日豚とイノシシの空腸と回腸に寄生し、世界各地に分布すると思われます。
胞子虫類

≪豚≫アイメリア・スカブラ ~ 豚とイノシシの小腸、おもに後半部に寄生

アイメリア・スカブラ(Eimeria scabra)オーシストは卵円形ないし類楕円形、22~42 x 16~28㎛壁は褐色で粗胞子形成時間は、9~12日豚とイノシシの小腸、おもに後半部に寄生します。世界各地に分布します。
胞子虫類

≪豚≫アイメリア・デブリエッキ ~ 豚とイノシシの小腸前部に寄生

アイメリア・デブリエッキ(Eimeria debliecki)オーシストは20~30 x 14~20(平均25 x 17)㎛類楕円形ときに卵円形長径/短径比=1.4壁は平滑で無色胞子形成時間は、6~9日豚のコクシジウムでは最もふつうで、世界...
胞子虫類

≪牛≫アイメリア・エリプソイダリス ~ 牛、水牛の小腸に寄生

アイメリア・エリプソイダリス(Eimeria ellipsoidalis)オーシストは類楕円形ないしやや卵円形、オーシスト壁は平滑で無色、12~32 x 10~29㎛胞子形成時間は3日牛、水牛の小腸に寄生し、牛ではふつうです。世界各地に分布...
胞子虫類

≪めん羊と山羊≫アイメリア・アルロインギ ~ 山羊の小腸に寄生します

アイメリア・アルロインギ(Eimeria arloingi)オーシストは類楕円形ないしやや卵円形、一端がやや扁平、22~36 x 16~26(平均28 x 20)㎛、オーシスト壁は平滑、その外層は透明ですが内層は黄褐色胞子形成時間は室温で1...
胞子虫類

≪めん羊と山羊≫アイメリア・パルバ ~ めん羊と山羊では普通種

アイメリア・パルバ(Eimeria parva)オーシストは亜球形、卵円形、類楕円形で、12~23 x 10~19㎛壁は平滑で淡青色胞子形成時間は1~8日めん羊と山羊では普通種で、無性生殖は小腸全般に、有性生殖は盲腸、結腸、小腸で行われます...
胞子虫類

≪めん羊と山羊≫アイメリア・オビナ ~ めん羊の小腸に寄生

アイメリア・オビナ(Eimeria ovina)オーシストは類楕円形ないし卵円形、23~26 x 16~24㎛壁は平滑で黄色を帯びる胞子形成時間は2~4日めん羊の小腸に寄生し、世界各地に分布します。めん羊では普通種です。
胞子虫類

≪めん羊と山羊≫アイメリア・アーサタ ~ めん羊、ムフロンなどの小腸に寄生

アイメリア・アーサタ(Eimeria ahsata)、オーシストは29~44 x 17~29㎛で、E.arloingiのものよりややおおきく、壁は平滑で色は薄い。胞子形成時間は36~72時間めん羊、ムフロンなどの小腸に寄生し、世界各地に分布...
胞子虫類

≪牛≫Eimeria bukidnonensis ~ 牛の回腸の中央部と後部に寄生

Eimeria bukidnonensisオーシストは洋ナシ状、壁は黄褐色、点状物があり、放射状の線状構造おおきさは、43~45 x 26~34(平均39 x 30)㎛長径/短径比=1.3胞子形成時間は25~28℃で5~9日牛の回腸の中央部...
胞子虫類

≪牛≫アイメリア・アブルネンシス ~ 牛、水牛の小腸の中央部1/3および下部1/3に寄生

アイメリア・アブルネンシス(Eimeria auburnensis)オーシストは長卵円形、32~46 x 19~28(平均38 x 24)㎛長径/短径比=1.58オーシスト壁はふつうは平滑、薄いオレンジ色牛、水牛の小腸の中央部1/3および下...
胞子虫類

≪牛≫アイメリア ・ボビス ~ 牛、水牛の小腸後半(第1代シゾゴニー)と盲腸、結腸、回腸末部(第2代シゾゴニーと有性生殖世代)に寄生

アイメリア ・ボビス(Eimeria bovis)オーシストは卵円形、23~34 x 17~23(平均28 x 21)㎛長径/短径比=1.33オーシスト壁は平滑、黄褐色胞子形成時間は室温で、2~3日牛、水牛の小腸後半(第1代シゾゴニー)と盲...
胞子虫類

≪牛≫アイメリア・ツルニ ~ 牛のほか水牛にも寄生し、寄生部位は盲腸、結腸、直腸、小腸全域

アイメリア・ツルニ(Eimeria zuernii)オーシストは亜球形ないし卵円形、12~29 x 10~21(平均18 x 16)㎛長径/短径比=1.14、無色オーシスト壁は平滑、最短胞子形成時間は24時間牛のほか水牛にも寄生し、寄生部位...
胞子虫類

≪鶏≫アイメリア・ブルネッティ ~ 寄生部位は小腸下部と大腸

アイメリア・ブルネッティ(Eimeria brunetti)オーシストは卵円形、20.7~30.3 x 18.1~24.2(平均24.6 x 18.8)㎛長径/短径比=1.31最短胞子形成時間は、18時間寄生部位は小腸下部と大腸ですが、重度...
胞子虫類

≪鶏≫アイメリア・アセルブリナ ~ 寄生部位は小腸前部の上皮細胞

アイメリア・アセルブリナ(Eimeria acervulina)オーシストは、卵円形、大きさ17.7~20.2 x 13.7~16.3(平均18.3 x 14.6)㎛長径/短径比=1.25最短胞子形成時間は17時間寄生部位は小腸前部の上皮細...
胞子虫類

≪鶏≫鶏盲腸コクシジウム ~ 寄生部位は盲腸の上皮と粘膜下組織

鶏盲腸コクシジウム:アイメリア テネラ(Eimeria tenella)オーシスト(oocyst)は大きさ、19.5~26.0 x 16.5~22.8(平均22.0 x 19.0)㎛で、卵円形長径/短径=1.16最短胞子形成時間は18時間寄...
胞子虫類

≪鶏≫アイメリア・ネカトリックス ~ 寄生部位はおもにメッケル憩室付近の空腸、すなわち小腸の中央部

アイメリア・ネカトリックス(Eimeria necatrix)オーシストは長卵円形13.2~22.7 x 11.3~18.3(平均20.4 x 17.2)㎛長径/短径比=1.19最短胞子形成時間18時間寄生部位はおもにメッケル憩室付近の空腸...
胞子虫類

≪鶏≫アイメリア・マキシマ ~ 寄生部位は小腸中央部のほか十二指腸と回腸

アイメリア・マキシマ(Eimeria maxima)オーシストは卵円形で、21.5~42.5 x 16.5~29.8(平均42.5 x 21.5)㎛おおきさで他の種と区別できる。長径/短径比=1.47最短胞子形成時間は30時間寄生部位は小腸...
繊毛虫類

大腸バランチジウム ~ 豚の盲・結腸に普通ですが、ヒト、サル、犬などにもみられる

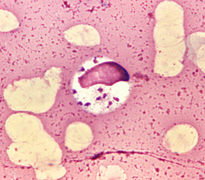
大腸バランチジウム:バランチジウム・コリ(Balantidium coli)栄養型は卵円形で、長さ約60㎛、幅40~50㎛です。体表は一様に繊毛でおおわれ、体の前端には特徴的な前庭という陥入部があり、その底に細胞口がひらく。これらの部分は明...
肉質鞭毛虫類

ブラジルリーシュマニア ~ 中南米の森林に生息するげっ歯類、ナマケモノ、サルの皮膚のリーシュマニア症の原因虫

ブラジルリーシュマニア:リーシュマニア・ブラジリエンシス(Leishmania braziliensis)中南米の森林に生息するげっ歯類、ナマケモノ、サルの皮膚のリーシュマニア症の原因虫ですが、しばしばヒトの鼻咽頭に病変を生ずることがありま...
肉質鞭毛虫類

メキシコリーシュマニア ~ おもに森林性の齧歯類とオポッサムに寄生

メキシコリーシュマニア:リーシュマニア・メキシカーナ(Leishmania mexicana)西半球(中央および南アメリカ)にのみ分布し、おもに森林性の齧歯類とオポッサムに寄生し、皮膚リーシュマニア症の原因となります。本原虫のアマスティゴー...
肉質鞭毛虫類

熱帯リーシュマニア ~ 媒介昆虫はPhle-botomus属のサシチョウバエ

熱帯リーシュマニア:リーシュマニア・トロピカ(Leishmania tropica)東洋瘤腫(乾性皮膚リーシュマニア症:cutaneous leishmaniasis)の病原体です。ヨーロッパでは地中海沿岸諸国およびその隣接諸国、アジアでは...
肉質鞭毛虫類

ドノバンリーシュマニア ~ 媒介昆虫はサシチョウバエ類(Phlebotomus属)

ドノバンリーシュマニア:リーシュマニア・ドノバニ(Leishmania donovani)カラアザールまたは内臓リーシュマニア症の病原体です。アジア(ビルマ、中国東北部、インド、バングラデシュ、スマトラ、タイ)とアフリカ(中央アフリカ、チャ...
肉質鞭毛虫類

エバンストリパノソーマ ~ 家畜と実験動物に感染しますが、ラクダ、馬、犬、インドゾウは感受性が強い

エバンストリパノソーマ:(Trypanosoma(Trypanozoon)evansi)スーラ病の病原体です。宿主体内の虫体は細長型(15~33 x 1.5~2.0㎛)が主で、体の後端はまるい。鞭毛のある虫体がふつうですが、ときに無鞭毛型(...
スポンサーリンク
error: Content is protected !!