アイメリア・アセルブリナ(学名:Eimeria acervulina)とは、老齢の家禽にコクシジウム症を引き起こすアイメリア属の1種です。
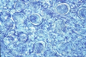
傷害は小腸の前部1/3の領域に限局します。病理所見として白色ないし灰色の線状所見が筋肉上や小腸内部表面に認められ、病鳥の筋肉標本からオーシストを確認することができます。
ニワトリでは9種のアイメリアEimeria種が記載されていますが、一般的に病気と関連しているのは7種のみです:E.acervulina(アイメリア・アセルブリナ)、E.brunetti(アイメリア・ブルネッティ)、E.maxima(アイメリア・マキシマ)、E.tenella(アイメリア・テネラ)、E.necatrix(アイメリア・ネカトリックス)、E.praecox(アイメリア・プレコックス)、E.mitis(アイメリア・ミチス)などです。
ライフサイクル:アイメリアのオーシストは、環境に入るとすぐに胞子形成します。 毎日の糞便の除去は、コクシジウム症の予防に役立ちます。
それらが感染した後、オーシストは最も一般的に使用される消毒剤に耐性があります。感染オーシストは、環境中で何ヶ月も生き残ることができます。
胞子形成は、30℃から37℃の間の温度で急速に(16時間)起こります。
環境中での生存:胞子形成されたアイメリアのオーシストは、有害な環境条件に耐性があり、凍結や極端な高温にさらされなければ、湿った保護された環境で1年も生存することができます。
分類
目:コクシジウム目(Eucoccidiorida)
科:アイメリア科(Eimeriidae)
属:アイメリア(Eimeria)
関連疾患
●コクシジウム症

