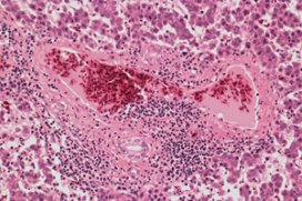
アヒルA型肝炎ウイルス(DHAV)1(以前はDHV-1と呼ばれていました)は、アヒルウイルス性肝炎(DVH)を引き起こす3つのウイルスのうちの1つで、若いアヒルの急性で高伝染性、しばしば致死的なウイルス感染です。
DHAVは、3つのウイルスの中で最も毒性が強く、生後3週間未満のアヒルでは最大95%の死亡率に達します。
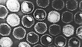
アヒル肝炎ウイルス(DHV)は、1949年に米国で初めて報告され、1950年に鶏の胚から分離されました。
ピコルナウイルス属(アビヘパトウイルス)に分類されるDHAV-1は、生後3週間未満のアヒルで最大95%の死亡率に達する可能性がある最も毒性の高いウイルス型です(マラードとペキン種のみ)。
アヒルアストロウイルス1型(DAstV-1)、アストロウイルス科アストロウイルス属(アブアストロウイルス)に属するDAstV-2型(DAstV-2)は、ヘパドナウイルス群[アヒルB型肝炎ウイルス(DHBV)]の他に、病因的にアヒルにおける肝疾患と関連します。
野生の鳥類とげっ歯類は、DHAVの機械的な媒介動物または保有宿主として機能する可能性があります。
分類
目:
科:ピコルナウイルス科(Picornaviridae)
属:アビヘパトウイルス(Avihepatovirus)
宿主
●アヒル

