コクシジウムには多くの種類がありますが、病原性にはかなりの差があり、非病原性の種類も多い。家畜(家禽)でコクシジウム症として臨床上重要とされる動物は、牛、めん羊、山羊、犬、猫、ウサギ、鶏です。馬、豚では重要性はない。
コクシジウムは腸管に寄生し、急性・慢性の腸炎を発生します。
病原性が強く臨床に最も重要とされる種類は、Eimeria zuernii,E.bovisであり、小腸、大腸に寄生します。E.auburnensis,E.ellipsoidalisは病原性は弱く、小腸に寄生します。
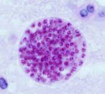
病変は小腸下部から盲・結腸にみられる粘膜病変であり、カタール性・出血性腸炎、粘膜肥厚、出血などが、また、シゾントが小白斑としてみられます。
重症例では粘膜に潰瘍もみられ、腸管内には血液や、血液と混ざった内容物が存在します。本症は、数か月齢から1歳までの子牛が発症しやすい。
発生時期は春から夏の間の期間です。
潜伏期はE.zuerniiが7~9日、E.bovisでは15~16日、E.ellipsoidalisは8~13日です。症状は軽度感染では水様性下痢をみる程度ですが、重度感染では激しい下痢があり、しぶりもみられ、便は血液、粘液が混ざって悪臭があります。
また、食欲不振、抑うつ状態、脱水、体重減少、削痩、貧血、腹痛がみられます。重度感染は初感染の子牛にみられ、急性に経過して死亡するものもあり、二次感染から肺炎などを併発して死亡することもあります。
感染を耐過したものは回復しますが、発育、栄養状態の遅れは長く続きます。
病原性が強く臨床に重要な種類はめん羊では、E.ahsataであり小腸下部に寄生します。山羊では、E.ninakohlyakimovaeであり小腸、大腸に寄生します。
また、めん羊には、E.parva,E.arloingi,E.cran-dallis,E.faureiも軽度に病原性があります。また、病変は牛のコクシジウム症と類似しています。
発症は数か月齢の幼獣に多く、症状は食欲不振、抑うつ、体重減少、発育不良、下痢であり、下痢による臀部、大腿部の汚染がみられます。
重度な感染を受けたり、二次感染から肺炎を併発すると死亡します。
馬の本症は、E.leuckartiを原因とし、臨床上あまり重要視されていませんが、散発的な発生はあります。また、子馬での死亡例も報告されています。
本邦では、北海道で2~7ヶ月齢のサラブレッドの子馬の小腸に寄生が確認され、寄生虫に対する細胞性反応は軽度であると報告されている。
豚に寄生するコクシジウムには病原性の激しいものはなく、E.scabra、E.debliecki、E.spinosa、E.suisにある程度の病原性が認められています。
病変は小・大腸にありカタール性腸炎を生じます。1~3ヶ月齢の子豚に発症が多く、成豚は感染しても発症しない。
潜伏期は6~10日であり、症状は下痢が重要ですが、一般に血便はみられません。食欲不振、体重減少、発育不良、貧血などもみられます。
多くは10日以上の経過をとって回復しますが、発育・栄養障害は残る。
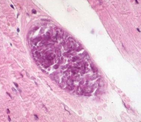
犬、猫に寄生するコクシジウムの種類は多く、その病原性は種類により異なります。病変は小腸に限定しており、カタール性・出血性腸炎がみられ、しばしば潰瘍、粘膜肥厚、粘膜上皮の剥離も認められます。
病変は回腸が最も激しく、空腸、十二指腸の順に軽度です。
本症の発生は生後1ヶ月から数ヶ月齢の幼齢の動物に認められます。潜伏期は一般に5~6日です。重度感染によって最初はカタール性下痢が現れ、やがて激しい下痢となり、血液、粘液、粘膜上皮を含む血液・粘液性下痢となります。
進行性に食欲不振、抑うつ、削痩、衰弱、貧血、脱水症状がみられます。二次感染もなく耐過すれば約2週間で症状は軽減し回復に向かうが、健康状態になってもかなり長期間にわたり正常便中にオーシストの排泄がみられます。
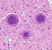
鶏に寄生するコクシジウムの種類は多いが、病原性は種類により異なります。最も病原性が強く重要な種類は、E.tenella、E.necatrixです。
前者は盲腸に寄生し、粘膜に出血、壊死、上皮剥離をみる出血性腸炎を生じ、盲腸内は血液、壊死組織が混ざった凝固物、滲出物で充満し拡張してみられる。
後者は主として小腸の中・後部に寄生し、小腸粘膜にE.tenellaに類似した病変を生じます。他の種類はいずれも小腸に寄生しますが、病原性が弱く、軽度感染では病変は明らかでなく、重度感染によって軽度なカタール性腸炎を生じますが、出血性変状は一般にみられないか軽微です。
本邦の鶏コクシジウムの病型については、小腸型が87.4%、盲腸型が10.5%、混合型が2.1%であったとの報告がある。発症は感染種と感染量にもよりますが、病害が甚だしいのは雛鳥であり、急性感染が発生して死亡率も高い。
一般に初感染の急性感染に耐過し回復すると、免疫が成立して再感染による発症を免れる。成鶏での感染は慢性経過をとることが多い。
急性コクシジウム症は病原性の強い種類の重度感染によって発症します。急性盲腸コクシジウム症はE.tenellaに原因し、急性小腸コクシジウム症はE.necatrixに原因します。
感染後4~5日で発症し、突発する鮮血便、タール便を含む血便性の下痢がみられ、食欲不振、抑うつ状態、衰弱、貧血、低体温となり死亡します。
症状から寄生種の同定は困難です。
慢性コクシジウム症は、E.acervulinaなど病原性の弱い種類の感染で発症します。症状は穏やかで、不消化性の下痢をみる程度です。
症状が進むと粘液性の下痢となり、食欲不振、抑うつ状態、発育不良、貧血などが目立つようになります。
コクシジウム症の予防
予防はコクシジウムすなわちオーシストの面と、宿主の面に分けて考えられます。前者のオーシストの殺滅ないし除去が根本的な予防対策ですが、オーシストは環境諸条件や薬剤などに対して非常に抵抗力が強く、その実施は困難なことがおおい。
オーシストは酸素のないところでは胞子形成ができず、また、温度が氷点下になったときには死滅することがあります。
薬剤では、一般に用いられる消毒剤や防腐剤はオーシストに対する殺滅効果はない。例えば、5%ホルマリン、5%石炭酸、5%硫酸銅、10%硫酸、5%水酸化ナトリウム、5%ヨウ化カリウムなどの溶液は無効です。
しかし、紫外線、熱、乾燥、無酸素状態での細菌の作用によって死滅することがあります。例えば、52℃では15分でE.tenellaとE.maximaのオーシストは死滅します。
トーチランプでは鶏舎床面のオーシストは死滅しない。小規模の場合はむしろ熱湯に消毒剤を加えたものを大量に散布した方が有効です。
ホルムアルデヒドなどの燻蒸剤も一般に無効ですが、アンモニアは例外で実用価値がある。例えば、E.tenellaのオーシストは0.0088%のアンモニア溶液では24時間で、0.044%では2時間で、0.088%では45分で死滅します。
鶏舎を燻蒸するにはアンモニアガスや臭気メチルガスを用いると有効です。また、単に鶏糞をビニール袋に密封しておくだけでもアンモニアによる殺オーシスト効果があります。
牛、めん羊、豚、犬、猫でも糞便の処理を厳重に行って飼育環境を改善します。宿主の面からの予防としては、幼動物(雛)を成熟動物(成鶏)とは別に飼育する必要があります。
敷料は新しものと交換し、乾燥を保つように心がけます。飼料槽や給水器は熱湯で消毒します。また屋根の雨漏り、給水器の漏水に注意します。
さらに鶏舎の床を金網化するとコクシジウムは激減するが、経費が増大するなどの問題がある。しかし、家畜衛生的な方法だけで本症の予防は困難であり、感染の恐れがあれば、抗コクシジウム剤を用いて予防を行います。

