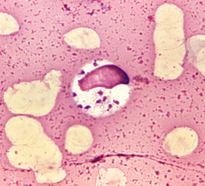
ジアルジア症として臨床上重要視されるのは犬であり、G.canisの小腸寄生に原因します。この原虫の病原性については、原虫が正常便、下痢便の両方から検出されるこや、他の病原寄生体の同時感染を認めることも多いために、疑問がもたれている。
ジアルジア原虫の腸粘膜への侵入はみられませんが、吸盤による粘膜上皮細胞への吸着は考えられるので、腸管内で増殖した虫体が粘液分泌を刺激したり、腸蠕動を亢進させるであろうことは推測されます。
ジアルジア原虫単独での病原性に疑問はあるにしても、他の原因による腸管病変に関係して異常増殖をきたし、腸管病変をより悪化させることは充分に考慮する必要があります。
調査によると下痢を認める生後1~3ヶ月齢の子犬に、かなりの頻度でこの原虫を認めており、腸炎の発生になんらかの役割をもっていると考えられています。一方、この原虫の実験感染による下痢の発生も知られています。
症状は、生後数ヶ月齢以内の子犬に激しく、水様性、粘液性で量の多い下痢便を排泄し、ときに血便もみられます。一般に食欲は正常に近いが、体重減少、発育不良が目立つ。
猫のジアルジア症は知られていませんが、G.catiが糞便、消化管から検出される。ミシガンで57.1%、ミネソタで3.05%、テヘランで7.2%の検出率が報告されています。
また感染猫は健康で、便も正常、腸に病変はみられないとしている。
腸ジアルジア症の予防
感染がシストの嚥下にあるから、環境を衛生的に改善し、飲水、餌、動物舎の糞便による汚染を防止する。保虫動物を隔離し、抗原虫薬による駆虫を確実に実施します。
高蛋白餌の給与は虫体の発育を抑制するので、高蛋白餌を給与します。
ジアルジアのシストは2~5%の石炭酸液で殺滅できます。

