めん羊肉胞子虫(Sarcocystis tenella)、スポロシストは楕円形で13~16 x 8~11(平均14.5 x 9.5)㎛、壁は平滑で無色ないしわずかに淡黄色。
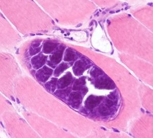
サルコシストは非常に小さく500 x 60~100㎛で、同じくめん羊に寄生するS.gigantedのものと区別できます。
終宿主は犬、コヨーテ、アカギツネで小腸上部1/3の絨毛先端部の上皮下組織に寄生します。
中間宿主はめん羊でシゾントは各臓器の動脈の内皮、サルコシストは横紋筋に寄生します。
世界各地にふつうにみられ、S.ovicanisは同物異名
めん羊肉胞子虫 ~ 終宿主は犬、コヨーテ、アカギツネで小腸上部1/3の絨毛先端部の上皮下組織に寄生
胞子虫類
