長形双口吸虫(Fischoederius elongatus)、大形で、体長10~20mm、体幅2~4mm
紡錘形で生時は赤褐色で腹嚢があります。細長くて赤褐色であることにより、他の双口吸虫と容易に区別できます。
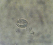
虫卵は、144 x 78㎛
九州地方ではふつう。
長形双口吸虫 ~ 九州地方ではふつう
線虫類
線虫類
長形双口吸虫(Fischoederius elongatus)、大形で、体長10~20mm、体幅2~4mm
紡錘形で生時は赤褐色で腹嚢があります。細長くて赤褐色であることにより、他の双口吸虫と容易に区別できます。
虫卵は、144 x 78㎛
九州地方ではふつう。