伝染性(牛)

スポンサーリンク
ウシ(牛)の病気

牛白癬(Ringworm) ~ 皮膚糸状菌によって引き起こされる伝染性の真菌性皮膚感染症

白癬は、皮膚糸状菌によって引き起こされる伝染性の真菌性皮膚感染症です。トリコフィトン・エキナム(Trichophyton equinum)は、牛の白癬の原因となることが最も多い皮膚糸状菌です。 皮膚糸状菌は、ケラチナーゼと呼ばれる酵素を産生...
ウシ(牛)の病気

レプトスピラ症(Leptospirosis) ~ 不妊等の繁殖障害が認められますが多くの個体は無症状

レプトスピラ症は、世界中の家畜や野生動物に影響を及ぼす人獣共通感染症です。これは、病原性細菌であるレプトスピラ属細菌(Leptospira spp)によって引き起こされます。 牛は、いくつかのレプトスピラ血清型の偶発的な宿主(家畜伝染病予防...
ウシ(牛)の病気

牛の狂犬病(Rabies) ~ 牛は感受性が高く発症しやすい

狂犬病は、リッサウイルス属に属する狂犬病ウイルスによって引き起こされる動物とヒトのウイルス性人獣共通感染症です。このウイルスは感染した動物の唾液や鼻汁に含まれており、感染した動物に噛まれることで感染します。肉食動物(スカンク、アライグマ、キ...
ウシ(牛)の病気

牛伝染性鼻気管炎(Infectious Bovine Rhinotracheitis (IBR)) ~ ウシの急性で感染性の高い呼吸器疾患

牛伝染性鼻気管炎 (IBR) は、ヘルペスウイルス科(herpesviridae)、アルファヘルペスウイルス亜科(Alphaherpesvirinae)、バリセロウイルス(Varicellovirus)に属するウシヘルペスウイルス1型 (B...
ウシ(牛)の病気

出血性敗血症(Haemorrhagic Septicemia) ~ パスツレラ・ムルトシダによるウシの細菌感染症

出血性敗血症は、パスツレラ・ムルトシダ(Pasteurella multocida)の莢膜抗原B型あるいはE型による感染を原因とすることによって引き起こされるウシの細菌感染症です。主にアジア、アフリカ、ヨーロッパ、中東の畜牛が罹患します。牛...
ウシ(牛)の病気

流行性出血病(Epizootic Hemorrhagic Disease) ~ 感染した動物に深刻な脱水症状を引き起こす可能性があります

流行性出血病(EHD)は、牛やオジロジカを媒介とするウイルス性(流行性出血病ウイルス(EHDV):レオウイルス科オルビウイルス属に属する10分節の2本鎖RNAウイルス)の病気です。死亡例はまれですが、感染した動物に深刻な脱水症状を引き起こす...
ウシ(牛)の病気

ランピースキン病(Lumpy Skin Disease) ~ 皮膚における塊または小結節の発生と発熱および下肢または肩関節のリンパ節炎と浮腫

ランピースキン病(LSD)は、ウシの急性感染性ウイルス性皮膚疾患であり、全身を覆う皮膚における塊または小結節の発生、発熱および下肢または肩関節のリンパ節炎と浮腫を特徴とします。結節は硬く、隆起して痛みを伴い、表皮、真皮および皮下組織を侵す傾...
ウシ(牛)の病気

牛伝染性リンパ腫(Enzootic Bovine Leukosis) ~ 全身のリンパ組織上の腫瘍の発症により特徴付けられる

牛伝染性リンパ腫 (EBL) は、脾臓、胸腺およびリンパ節のような全身のリンパ組織 (リンパ肉腫) 上の腫瘍の発症により特徴付けられ、レトロウイルス科(Retroviridae)、オルソレトロウイルス亜科(Orthoretrovirinae...
ウシ(牛)の病気

牛ウイルス性下痢(Bovine Viral Diarrhoea (BVD)) ~ 呼吸器疾患の発生に寄与することが示されています

牛ウイルス性下痢 (BVD) は世界中の畜牛に影響を及ぼす重大なウイルス性疾患です。BVDは、フラビウイルス科ペスチウイルス属に分類されるプラス1本鎖の40~60nmの球形RNAウイルス(エンベロープを有する)に属する牛ウイルス性下痢ウイル...
ウシ(牛)の病気

牛結核(Bovine Tuberculosis) ~ 肺やリンパ節などに結節性の病変や体表リンパ節の腫大を示す

牛結核(bTB)は、世界中の牛が罹患する伝染性疾患です。これは、マイコバクテリウム・ボビス(Mycobacterium bovis:ウシ型結核菌)の感染によって引き起こされます。主に牛の肺や縦隔膜リンパ節、肺門リンパ節に肉芽腫(結節性病変)...
ウシ(牛)の病気

牛肺疫(Contagious Bovine Pleuropneumonia) ~ 感染した牛の咳によって飛沫を吸い込むことで感染します

牛肺疫:ぎゅうはいえき(CBP)は、マイコプラズマ・ミコイデス(Mycoplasma mycoides)によって引き起こされる牛の高伝染性細菌感染症です。主にアフリカの牛に感染しますが、中東では小規模な発生が見られます。伝播:CBPは、感染...
ウシ(牛)の病気

趾皮膚炎(Digital Dermatitis) ~ 有痛性の蹄の病変を引き起こす細菌性皮膚感染症

趾皮膚炎 (DD) は、成乳牛に有痛性の蹄の病変を引き起こす細菌性皮膚感染症です。過密で不衛生な状態で生活する乳牛にとって最も頻繁に問題となり、牛の跛行の主な原因で、炎症や皮膚の損傷による痛みや不快感が原因です。同様の病型はヒツジおよび乳用...
ウシ(牛)の病気

牛トリコモナス症(Bovine Trichomoniasis) ~ 不妊症あるいは流産を引き起こす

牛トリコモナス症(BT) は、性感染症であり、世界中の畜産業に多大な経済的損失をもたらします。トリコモナス(原虫)により、牛と水牛に泌尿・生殖器系の異常、早期流産を引き起こす届出伝染病で、BTは1930年から米国で流行しており、ウシの生殖管...
ウシ(牛)の病気

牛海綿状脳症(Bovine Spongiform Encephalopathy) ~ 脳と脊髄の海綿状変性を引き起こす牛の致命的な神経変性疾患

牛海綿状脳症(BSE)は、狂牛病とも呼ばれ、脳と脊髄の海綿状変性を引き起こす牛の致命的な神経変性疾患です。BSEは、細胞の構成成分蛋白の一種であるプリオンと呼ばれるタンパク質が理由は不明ですが、ウシの中枢神経系に損傷を与える有害な病原性型に...
ウシ(牛)の病気

牛ブルセラ症(Bovine Brucellosis) ~ 流産の原因

牛ブルセラ症は、主にブルセラ・アボルタス(Brucella abortus)によって引き起こされる感染性の生殖器疾患ですが、ブルセラ・メリテンシス(B.melitensis)と、ブルセラ・スイス(B.suis)によっても引き起こされます。世...
ウシ(牛)の病気

牛カンピロバクター症(Bovine Genital Campylobacteriosis) ~ 繁殖能力の低下、流産、早期胚死

牛カンピロバクター症(BGC)は、カンピロバクター・フェタス亜種ベネレアリス(Campylobacter fetus subsp. venerealis(Cfv))とそのグリセリン耐性変異体、カンピロバクター・フェタス亜種ベネレアリス・ビオ...
ウシ(牛)の病気

牛乳頭腫症(Bovine Papillomatosis) ~ 耳のタグの位置にイボが発生し頭や首の他の部位にも広がることが多い

牛乳頭腫症は、牛パピローマウイルス(BPV)の6種類の異なる血清型によって引き起こされる牛の伝染性皮膚疾患です。すべての年齢の牛に発生する可能性がありますが、2歳未満の子牛に最も多く見られ、子牛が最も影響を受けやすいとされています。また、識...
ウシ(牛)の病気

牛バベシア(Bovine Babesiosis) ~ 赤血球に感染する寄生原虫によって引き起こされるダニ媒介性疾患

牛バベシア病は、赤血球に感染する寄生原虫によって引き起こされるダニ媒介性疾患です。最も多くの場合、バベシア・ビゲミナ(Babesia bigemina)とバベシア・ボビス(B.bovis)原虫による感染と関連しています。この病気は、世界中の...
ウシ(牛)の病気

アナプラズマ症(Bovine Anaplasmosis) ~ 予防はマダニ類や吸血動物の駆除が有効

アナプラズマ症は、世界中の熱帯・亜熱帯地域に生息する家畜や野生の反芻動物の感染性、非伝染性、マダニ媒介性の血液寄生性疾患です。ウシのアナプラズマ症は、アナプラズマ・マージナーレ(Anaplasma marginale)、時にはアナプラズマ・...
ウシ(牛)の病気

ブルータング(Bluetongue) ~ 反芻動物、主にヒツジおよび頻度は低いのですがウシでの昆虫媒介ウイルス性疾患

ブルータング病(青舌病:BT) は、反芻動物、主にヒツジおよび頻度は低いのですがウシでの昆虫媒介ウイルス性疾患です。BTは特定のブヨ種やヌカカ等の吸血昆虫によって伝播されるレオウイルス科オルビウイルス属ブルータングウイルスによって引き起こさ...
ウシ(牛)の病気

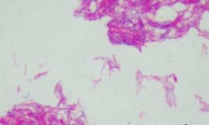
炭疽(Anthrax) ~ 炭疽菌による伝染性が高く、急速に致死的な人獣共通感染症

炭疽は、芽胞形成細菌である炭疽菌によって引き起こされ、伝染性が高く、急速に致死的な人獣共通感染症です。 炭疽菌はOIEに登録されている病気で、世界中で見られ、南極大陸を除くすべての大陸で発生しています。これは通常、反芻動物と人間の病気です。...
スポンサーリンク
error: Content is protected !!